The KIF4A Monoclonal Antibody (CAB9080) is a high-quality antibody developed for reliable detection and analysis of target proteins. Raised in rabbits, this antibody is highly specific to human samples and is validated for use in Western blot applications. By binding to the KIF4A protein, this antibody allows for the detection and analysis of KIF4A in various cell types, making it an essential component for studies in cell biology, cancer research, and developmental biology.
This antibody is validated for use in WB, IHC-P, ELISA applications and has demonstrated reactivity against Human, Mouse, Rat samples.
Product Name:
KIF4A Monoclonal Antibody
SKU:
CAB9080
Size:
20μL, 100μL
Reactivity:
Human, Mouse, Rat
Clone Number:
ARC1405
Conjugate:
Unconjugated
Immunogen:
Synthetic peptide. This information is considered to be commercially sensitive.
Sequence:
Email for sequence
Tested Applications:
WBIHC-PELISA
Recommended Dilution:
WB
1:500 - 1:1000
IHC-P
1:50 - 1:200
ELISA
Recommended starting concentration is 1 μg/mL. Please optimize the concentration based on your specific assay requirements.
This gene encodes a member of the kinesin 4 subfamily of kinesin related proteins. The encoded protein is an ATP dependent microtubule-based motor protein that is involved in the intracellular transport of membranous organelles. This protein also associates with condensed chromosome arms and may be involved in maintaining chromosome integrity during mitosis. This protein may also be involved in the organization of the central spindle prior to cytokinesis. A pseudogene of this gene is found on chromosome X.
Purification Method
Affinity purification
Gene ID
24137
Buffer Information
Store at -20℃. Avoid freeze / thaw cycles. Buffer: PBS containing 50% glycerol and 0.05% BSA, preserved with proclin300 or sodium azide, pH 7.3.
Western blot analysis of various lysates using KIF4A Rabbit mAb (CAB9080) at 1:1000 dilution. Secondary antibody: HRP-conjugated Goat anti-Rabbit IgG (H+L) (CABS014) at 1:10000 dilution. Lysates/proteins: 25μg per lane. Blocking buffer: 3% nonfat dry milk in TBST. Detection: ECL Basic Kit (AbGn00020). Exposure time: 60s.
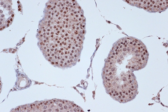
Immunohistochemistry analysis of paraffin-embedded Rat testis using KIF4A Rabbit mAb (CAB9080) at dilution of 1:100 (40x lens). Microwave antigen retrieval performed with 0.01M Tris/EDTA Buffer (pH 9.0) prior to IHC staining.
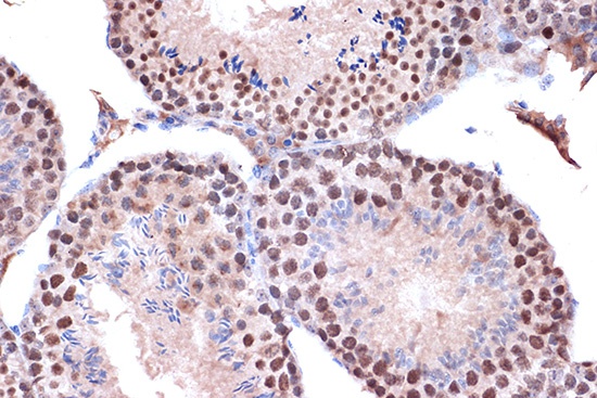
Immunohistochemistry analysis of paraffin-embedded Mouse testis using KIF4A Rabbit mAb (CAB9080) at dilution of 1:100 (40x lens). Microwave antigen retrieval performed with 0.01M Tris/EDTA Buffer (pH 9.0) prior to IHC staining.