The KIF4A Antibody (CAB10193) is a high-quality antibody developed for reliable detection and analysis of target proteins. The antibody, raised in rabbits, has high reactivity with human samples and is validated for use in Western blot and immunohistochemistry applications. It specifically binds to the KIF4A protein, enabling accurate detection and analysis in various cell types and tissues.KIF4A is essential for proper cell division and genome stability, making it a key player in cell proliferation and development. Its dysregulation has been linked to diseases such as cancer, where abnormal cell division processes contribute to tumor growth and progression.
This antibody is validated for use in WB, IHC-P, IF/ICC, ELISA applications and has demonstrated reactivity against Human, Mouse, Rat samples.
Product Name:
KIF4A Antibody
SKU:
CAB10193
Size:
20μL, 100μL
Reactivity:
Human, Mouse, Rat
Conjugate:
Unconjugated
Immunogen:
Recombinant protein (or fragment).This information is considered to be commercially sensitive.
This gene encodes a member of the kinesin 4 subfamily of kinesin related proteins. The encoded protein is an ATP dependent microtubule-based motor protein that is involved in the intracellular transport of membranous organelles. This protein also associates with condensed chromosome arms and may be involved in maintaining chromosome integrity during mitosis. This protein may also be involved in the organization of the central spindle prior to cytokinesis. A pseudogene of this gene is found on chromosome X.
Purification Method
Affinity purification
Gene ID
24137
RRID
AB_2757715
Buffer Information
Store at -20℃. Avoid freeze / thaw cycles. Buffer: PBS containing 50% glycerol, preserved with proclin300 or sodium azide, pH 7.3.
Western blot analysis of various lysates using KIF4A Rabbit pAb (CAB10193) at 1:7000 dilution. Secondary antibody: HRP-conjugated Goat anti-Rabbit IgG (H+L) (CABS014) at 1:10000 dilution. Lysates/proteins: 25μg per lane. Blocking buffer: 3% nonfat dry milk in TBST. Detection: ECL Basic Kit (AbGn00020). Exposure time: 10s.
Immunohistochemistry analysis of paraffin-embedded Rat heart using KIF4A Rabbit pAb (CAB10193) at dilution of 1:100 (40x lens). Microwave antigen retrieval performed with 0.01M PBS Buffer (pH 7.2) prior to IHC staining.
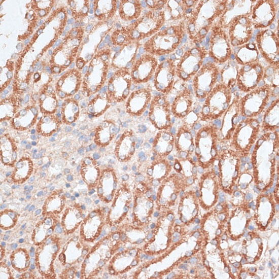
Immunohistochemistry analysis of paraffin-embedded Mouse kidney using KIF4A Rabbit pAb (CAB10193) at dilution of 1:100 (40x lens). Microwave antigen retrieval performed with 0.01M PBS Buffer (pH 7.2) prior to IHC staining.
Immunofluorescence analysis of HeLa cells using KIF4A Rabbit pAb (CAB10193) at dilution of 1:100 (40x lens). Secondary antibody: Cy3-conjugated Goat anti-Rabbit IgG (H+L) (CABS007) at 1:500 dilution. Blue: DAPI for nuclear staining.