The LMAN1 Monoclonal Antibody (CAB4941) is a high-quality antibody developed for reliable detection and analysis of target proteins. This antibody, produced in mice, is highly specific to human LMAN1 and is validated for use in various applications, including immunofluorescence and flow cytometry.LMAN1 is essential for proper protein trafficking and secretion, making it a key player in cell biology and protein homeostasis. Dysregulation of LMAN1 function has been linked to various diseases, including neurodegenerative disorders and certain types of cancer.
This antibody is validated for use in WB, IHC-P, ELISA applications and has demonstrated reactivity against Human, Mouse, Rat samples.
Product Name:
LMAN1 Monoclonal Antibody
SKU:
CAB4941
Size:
20μL, 100μL
Reactivity:
Human, Mouse, Rat
Clone Number:
ARC1978
Conjugate:
Unconjugated
Immunogen:
Synthetic peptide. This information is considered to be commercially sensitive.
HeLa, 293T, NCI-H460, Mouse liver, Mouse brain, Mouse heart, Rat lung, Rat liver, Rat kidney
Cellular Localization:
Endoplasmic Reticulum Membrane, Endoplasmic Reticulum-Golgi Intermediate Compartment Membrane, Golgi Apparatus Membrane, Single-Pass Membrane Protein, Single-Pass Type I Membrane Protein.
Calculated MW:
54kDa
Observed MW:
58kDa
The protein encoded by this gene is a membrane mannose-specific lectin that cycles between the endoplasmic reticulum, endoplasmic reticulum-Golgi intermediate compartment, and cis-Golgi, functioning as a cargo receptor for glycoprotein transport. The protein has an N-terminal signal sequence, a calcium-dependent and pH-sensitive carbohydrate recognition domain, a stalk region that functions in oligomerization, a transmembrane domain, and a short cytoplasmic domain required for organelle targeting. Allelic variants of this gene are associated with the autosomal recessive disorder combined factor V-factor VIII deficiency.
Purification Method
Affinity purification
Gene ID
3998
RRID
AB_2863394
Buffer Information
Store at -20℃. Avoid freeze / thaw cycles. Buffer: PBS containing 50% glycerol and 0.05% BSA, preserved with proclin300 or sodium azide, pH 7.3.
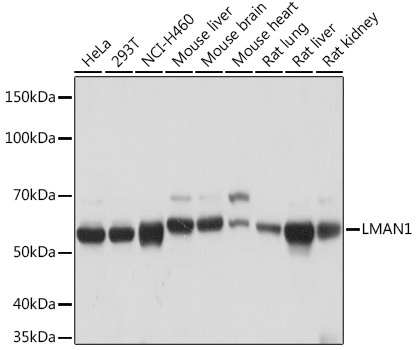
Western blot analysis of various lysates using LMAN1 Rabbit mAb (CAB4941) at 1:1000 dilution. Secondary antibody: HRP-conjugated Goat anti-Rabbit IgG (H+L) (CABS014) at 1:10000 dilution. Lysates/proteins: 25μg per lane. Blocking buffer: 3% nonfat dry milk in TBST. Detection: ECL Basic Kit (AbGn00020). Exposure time: 10s.
Immunohistochemistry analysis of paraffin-embedded Rat brain using LMAN1 Rabbit mAb (CAB4941) at dilution of 1:100 (40x lens). Microwave antigen retrieval performed with 0.01M Tris/EDTA Buffer (pH 9.0) prior to IHC staining.
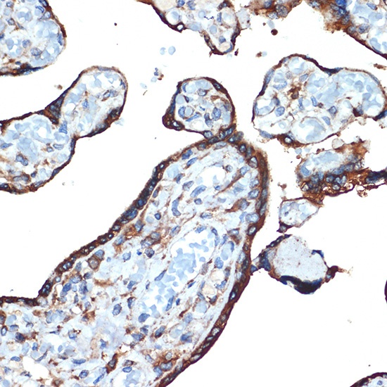
Immunohistochemistry analysis of paraffin-embedded Human placenta using LMAN1 Rabbit mAb (CAB4941) at dilution of 1:100 (40x lens). Microwave antigen retrieval performed with 0.01M Tris/EDTA Buffer (pH 9.0) prior to IHC staining.