The P23/PTGES3 Monoclonal Antibody (CAB5194) is a high-quality antibody developed for reliable detection and analysis of target proteins. This polyclonal antibody, produced in rabbits, exhibits high reactivity with human samples and has been validated for use in Western blot applications.p23, a co-chaperone protein, plays a key role in modulating the activity of heat shock proteins and is known to be upregulated in response to cellular stress. Its involvement in various signaling pathways makes it a promising target for studies in cancer biology, inflammation, and other disease contexts.
This antibody is validated for use in WB, IF/ICC, ELISA applications and has demonstrated reactivity against Human, Mouse, Rat samples.
Product Name:
P23/PTGES3 Monoclonal Antibody
SKU:
CAB5194
Size:
20μL, 100μL
Reactivity:
Human, Mouse, Rat
Clone Number:
ARC1986
Conjugate:
Unconjugated
Immunogen:
Synthetic peptide. This information is considered to be commercially sensitive.
Recommended starting concentration is 1 μg/mL. Please optimize the concentration based on your specific assay requirements.
Synonyms:
P23, TEBP, cPGES, P23/PTGES3
Positive Sample:
Jurkat, Mouse brain, Rat brain
Cellular Localization:
Cytoplasm.
Calculated MW:
19kDa
Observed MW:
23kDa
This gene encodes an enzyme that converts prostaglandin endoperoxide H2 (PGH2) to prostaglandin E2 (PGE2). This protein functions as a co-chaperone with heat shock protein 90 (HSP90), localizing to response elements in DNA and disrupting transcriptional activation complexes. Alternative splicing results in multiple transcript variants. There are multiple pseudogenes of this gene on several different chromosomes.
Purification Method
Affinity purification
Gene ID
10728
RRID
AB_2863482
Buffer Information
Store at -20℃. Avoid freeze / thaw cycles. Buffer: PBS containing 50% glycerol and 0.05% BSA, preserved with proclin300 or sodium azide, pH 7.3.
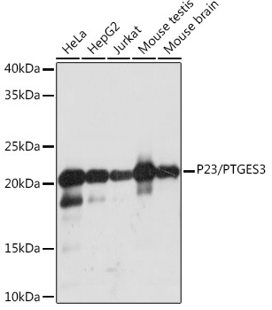
Western blot analysis of various lysates using P23/PTGES3 Rabbit mAb (CAB5194) at 1:1000 dilution. Secondary antibody: HRP-conjugated Goat anti-Rabbit IgG (H+L) (CABS014) at 1:10000 dilution. Lysates/proteins: 25μg per lane. Blocking buffer: 3% nonfat dry milk in TBST. Detection: ECL Basic Kit (AbGn00020). Exposure time: 3s.
Western blot analysis of various lysates using P23/PTGES3 Rabbit mAb (CAB5194) at 1:1000 dilution. Secondary antibody: HRP-conjugated Goat anti-Rabbit IgG (H+L) (CABS014) at 1:10000 dilution. Lysates/proteins: 25μg per lane. Blocking buffer: 3% nonfat dry milk in TBST. Detection: ECL Basic Kit (AbGn00020). Exposure time: 3s.
Immunofluorescence analysis of NIH-3T3 cells using P23/PTGES3 Rabbit mAb (CAB5194) at dilution of 1:100 (40x lens). Secondary antibody: Cy3-conjugated Goat anti-Rabbit IgG (H+L) (CABS007) at 1:500 dilution. Blue: DAPI for nuclear staining.
Immunofluorescence analysis of U-2 OS cells using P23/PTGES3 Rabbit mAb (CAB5194) at dilution of 1:100 (40x lens). Secondary antibody: Cy3-conjugated Goat anti-Rabbit IgG (H+L) (CABS007) at 1:500 dilution. Blue: DAPI for nuclear staining.