The PAF1 Monoclonal Antibody (CAB3437) is a high-quality antibody developed for reliable detection and analysis of target proteins. PAF1 is a critical component of the RNA polymerase II complex and plays a crucial role in regulating gene expression and chromatin modifications.This antibody, produced through immunization of rabbits, is highly reactive with human samples and is validated for use in Western blot applications. It binds specifically to the PAF1 protein, allowing for accurate detection and analysis in various cell types. This makes it an ideal tool for researchers studying transcriptional regulation, epigenetics, and gene expression.
This antibody is validated for use in WB, IHC-P, ELISA applications and has demonstrated reactivity against Human, Mouse, Rat samples.
Product Name:
PAF1 Monoclonal Antibody
SKU:
CAB3437
Size:
20μL, 100μL
Reactivity:
Human, Mouse, Rat
Clone Number:
ARC2019
Conjugate:
Unconjugated
Immunogen:
Synthetic peptide. This information is considered to be commercially sensitive.
Recommended starting concentration is 1 μg/mL. Please optimize the concentration based on your specific assay requirements.
Synonyms:
PD2, F23149_1, PAF1
Positive Sample:
HeLa, A549, Mouse lung, Rat lung, Rat testis
Cellular Localization:
Nucleus.
Calculated MW:
60kDa
Observed MW:
80kDa
This gene encodes a subunit of the polymerase associated factor (PAF1) complex. The PAF1 complex interacts with RNA polymerase II and plays a role in transcription elongation as well as histone modifications including ubiquitylation and methylation. Alternatively spliced transcript variants encoding multiple isoforms have been observed for this gene.
Purification Method
Affinity purification
Gene ID
54623
RRID
AB_2863058
Buffer Information
Store at -20℃. Avoid freeze / thaw cycles. Buffer: PBS containing 50% glycerol and 0.05% BSA, preserved with proclin300 or sodium azide, pH 7.3.
Western blot analysis of various lysates using PAF1 Rabbit mAb (CAB3437) at 1:1000 dilution. Secondary antibody: HRP-conjugated Goat anti-Rabbit IgG (H+L) (CABS014) at 1:10000 dilution. Lysates/proteins: 25μg per lane. Blocking buffer: 3% nonfat dry milk in TBST. Detection: ECL Basic Kit (AbGn00020). Exposure time: 90s.
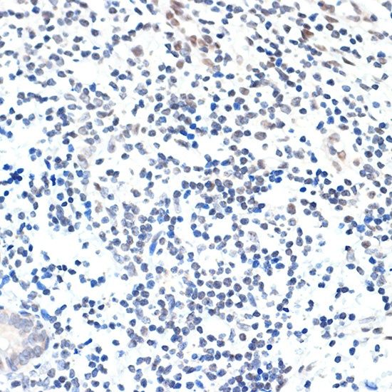
Immunohistochemistry analysis of paraffin-embedded Human appendix using PAF1 Rabbit mAb (CAB3437) at dilution of 1:100 (40x lens). Microwave antigen retrieval performed with 0.01M Tris/EDTA Buffer (pH 9.0) prior to IHC staining.