The PRSS2 Monoclonal Antibody (CAB19275) is a high-quality antibody developed for reliable detection and analysis of target proteins. This antibody, raised in rabbits, is highly specific to human PRSS2 samples and is validated for use in Western blot applications. It binds to the PRSS2 protein, allowing for accurate detection and analysis in a range of cell types, making it ideal for research in molecular biology and biochemistry.PRSS2, also known as trypsin-2, plays a crucial role in digestion as well as in other biological functions such as immune response modulation and tissue repair.
This antibody is validated for use in WB, IHC-P, ELISA applications and has demonstrated reactivity against Human, Mouse, Rat samples.
Product Name:
PRSS2 Monoclonal Antibody
SKU:
CAB19275
Size:
20μL, 100μL
Reactivity:
Human, Mouse, Rat
Clone Number:
ARC2453
Conjugate:
Unconjugated
Immunogen:
Synthetic peptide. This information is considered to be commercially sensitive.
Recommended starting concentration is 1 μg/mL. Please optimize the concentration based on your specific assay requirements.
Synonyms:
TRY2, TRY8, TRYP2, PRSS2
Positive Sample:
Mouse pancreas, Rat pancreas
Cellular Localization:
Secreted, Extracellular Space.
Calculated MW:
26kDa
Observed MW:
30kDa
This gene belongs to the trypsin family of serine proteases and encodes anionic trypsinogen. It is part of a cluster of trypsinogen genes that are located within the T cell receptor beta locus. Enzymes of this family cleave peptide bonds that follow lysine or arginine residues. This protein is found at high levels in pancreatic juice and its upregulation is a characteristic feature of pancreatitis. This protein has also been found to activate pro-urokinase in ovarian tumors, suggesting a function in tumor invasion. In addition, this enzyme is able to cleave across the type II collagen triple helix in rheumatoid arthritis synovitis tissue, potentially participating in the degradation of type II collagen-rich cartilage matrix. Alternative splicing results in multiple transcript variants.
Purification Method
Affinity purification
Gene ID
5645
Buffer Information
Store at -20℃. Avoid freeze / thaw cycles. Buffer: PBS containing 50% glycerol and 0.05% BSA, preserved with proclin300 or sodium azide, pH 7.3.
Western blot analysis of various lysates using PRSS2 Rabbit mAb (CAB19275) at 1:5000 dilution. Secondary antibody: HRP-conjugated Goat anti-Rabbit IgG (H+L) (CABS014) at 1:10000 dilution. Lysates/proteins: 25μg per lane. Blocking buffer: 3% nonfat dry milk in TBST. Detection: ECL Basic Kit (AbGn00020). Exposure time: 1s.
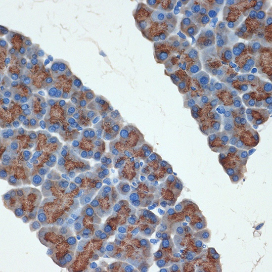
Immunohistochemistry analysis of paraffin-embedded Rat pancreas using PRSS2 Rabbit mAb (CAB19275) at dilution of 1:100 (40x lens). Microwave antigen retrieval performed with 0.01M Tris/EDTA Buffer (pH 9.0) prior to IHC staining.