The TMPRSS2 Monoclonal Antibody (CAB9126) is a high-quality antibody developed for reliable detection and analysis of target proteins. This antibody, raised in rabbits, is highly reactive with human samples and is validated for use in various applications including Western blot and immunohistochemistry.TMPRSS2 is known to cleave viral spike proteins, facilitating viral entry into host cells. Understanding the expression and activity of TMPRSS2 is crucial for studying viral pathogenesis and developing therapeutics targeting viral entry processes.
This antibody is validated for use in WB, IHC-P, ELISA applications and has demonstrated reactivity against Human, Mouse, Rat samples.
Product Name:
TMPRSS2 Monoclonal Antibody
SKU:
CAB9126
Size:
20μL, 100μL
Reactivity:
Human, Mouse, Rat
Clone Number:
ARC1439
Conjugate:
Unconjugated
Immunogen:
Synthetic peptide. This information is considered to be commercially sensitive.
Recommended starting concentration is 1 μg/mL. Please optimize the concentration based on your specific assay requirements.
Synonyms:
PRSS10, TMPRSS2
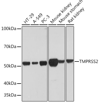
Positive Sample:
HT-29, A549, PC-3, Mouse kidney, Mouse stomach, Rat kidney
Cellular Localization:
Cell Membrane, Secreted, Single-Pass Type Ii Membrane Protein.
Calculated MW:
54kDa
Observed MW:
54kDa
This gene encodes a protein that belongs to the serine protease family. The encoded protein contains a type II transmembrane domain, a receptor class A domain, a scavenger receptor cysteine-rich domain and a protease domain. Serine proteases are known to be involved in many physiological and pathological processes. This gene was demonstrated to be up-regulated by androgenic hormones in prostate cancer cells and down-regulated in androgen-independent prostate cancer tissue. The protease domain of this protein is thought to be cleaved and secreted into cell media after autocleavage. This protein also facilitates entry of viruses into host cells by proteolytically cleaving and activating viral envelope glycoproteins. Viruses found to use this protein for cell entry include Influenza virus and the human coronaviruses HCoV-229E, MERS-CoV, SARS-CoV and SARS-CoV-2 (COVID-19 virus). Alternatively spliced transcript variants encoding different isoforms have been found for this gene.
Purification Method
Affinity purification
Gene ID
7113
RRID
AB_2863661
Buffer Information
Store at -20℃. Avoid freeze / thaw cycles. Buffer: PBS containing 50% glycerol and 0.05% BSA, preserved with proclin300 or sodium azide, pH 7.3.
Western blot analysis of various lysates using TMPRSS2 Rabbit mAb (CAB9126) at 1:1000 dilution. Secondary antibody: HRP-conjugated Goat anti-Rabbit IgG (H+L) (CABS014) at 1:10000 dilution. Lysates/proteins: 25μg per lane. Blocking buffer: 3% nonfat dry milk in TBST. Detection: ECL Enhanced Kit (AbGn00021). Exposure time: 3min.
Immunohistochemistry analysis of paraffin-embedded Human esophageal using TMPRSS2 Rabbit mAb (CAB9126) at dilution of 1:100 (40x lens). Microwave antigen retrieval performed with 0.01M Tris/EDTA Buffer (pH 9.0) prior to IHC staining.