The RAIDD/CRADD Monoclonal Antibody (CAB8664) is a high-quality antibody developed for reliable detection and analysis of target proteins. This antibody, generated in rabbits, is highly specific to human samples and has been validated for use in Western blot applications. By binding to the RAIDD/CRADD protein, this antibody enables accurate detection and analysis of this critical protein in various cell types.RAIDD/CRADD is a crucial component of the apoptosis pathway, acting as an adaptor molecule that links death receptors to downstream caspases.
This antibody is validated for use in WB, IHC-P, ELISA applications and has demonstrated reactivity against Human, Rat samples.
Product Name:
RAIDD/CRADD Monoclonal Antibody
SKU:
CAB8664
Size:
20μL, 100μL
Reactivity:
Human, Rat
Clone Number:
ARC1771
Conjugate:
Unconjugated
Immunogen:
Synthetic peptide. This information is considered to be commercially sensitive.
Recommended starting concentration is 1 μg/mL. Please optimize the concentration based on your specific assay requirements.
Synonyms:
MRT34, RAIDD, RAIDD/CRADD
Positive Sample:
293T, K-562, Rat heart
Cellular Localization:
Cytoplasm, Nucleus.
Calculated MW:
23kDa
Observed MW:
23kDa
This gene encodes a protein containing a death domain (DD) motif. This protein recruits caspase 2/ICH1 to the cell death signal transduction complex, which includes tumor necrosis factor receptor 1 (TNFR1A) and RIPK1/RIP kinase, and acts in promoting apoptosis. A mutation in this gene was associated with cognitive disability. A related pseudogene is found on chromosome 3. Alternative splicing results in multiple transcript variants.
Purification Method
Affinity purification
Gene ID
8738
RRID
AB_2863581
Buffer Information
Store at -20℃. Avoid freeze / thaw cycles. Buffer: PBS containing 50% glycerol and 0.05% BSA, preserved with proclin300 or sodium azide, pH 7.3.
Western blot analysis of various lysates using RAIDD/CRADD Rabbit mAb (CAB8664) at 1:1000 dilution. Secondary antibody: HRP-conjugated Goat anti-Rabbit IgG (H+L) (CABS014) at 1:10000 dilution. Lysates/proteins: 25μg per lane. Blocking buffer: 3% nonfat dry milk in TBST. Detection: ECL Enhanced Kit (AbGn00021). Exposure time: 3min.
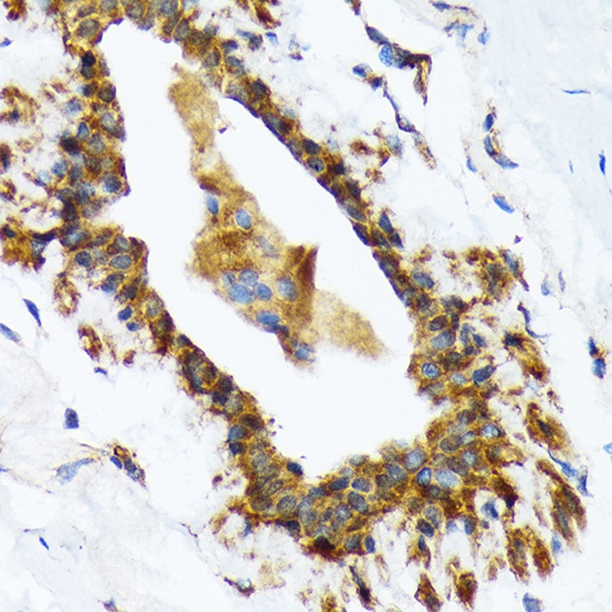
Immunohistochemistry analysis of paraffin-embedded Human breast using RAIDD/CRADD Rabbit mAb (CAB8664) at dilution of 1:100 (40x lens). Microwave antigen retrieval performed with 0.01M Tris/EDTA Buffer (pH 9.0) prior to IHC staining.