The POLR2C Monoclonal Antibody (CAB9744) is a high-quality antibody developed for reliable detection and analysis of target proteins. This antibody, produced in rabbits, is optimized for use in Western blot applications and shows strong reactivity with human samples.The RPB3 (POLR2C) protein is essential for transcription initiation and regulation, making it a key target for studies in molecular biology and gene expression. By specifically binding to RPB3 (POLR2C), this antibody allows for accurate detection and analysis of the protein in various cell types, providing valuable insights into transcription mechanisms and gene regulation.
This antibody is validated for use in WB, IHC-P, ELISA applications and has demonstrated reactivity against Human, Mouse, Rat samples.
Product Name:
POLR2C Monoclonal Antibody
SKU:
CAB9744
Size:
20μL, 100μL
Reactivity:
Human, Mouse, Rat
Clone Number:
ARC1729
Conjugate:
Unconjugated
Immunogen:
Synthetic peptide. This information is considered to be commercially sensitive.
Recommended starting concentration is 1 μg/mL. Please optimize the concentration based on your specific assay requirements.
Synonyms:
RPB3, RPB31, hRPB33, hsRPB3, RPB3/POLR2C
Positive Sample:
293T, Mouse kidney, Rat lung, Rat brain, Rat spleen
Cellular Localization:
Cytosol, Nucleoplasm, Nucleus.
Calculated MW:
31kDa
Observed MW:
35kDa
This gene encodes the third largest subunit of RNA polymerase II, the polymerase responsible for synthesizing messenger RNA in eukaryotes. The product of this gene contains a cysteine rich region and exists as a heterodimer with another polymerase subunit, POLR2J. These two subunits form a core subassembly unit of the polymerase. A pseudogene has been identified on chromosome 21.
Purification Method
Affinity purification
Gene ID
5432
Buffer Information
Store at -20℃. Avoid freeze / thaw cycles. Buffer: PBS containing 50% glycerol and 0.05% BSA, preserved with proclin300 or sodium azide, pH 7.3.
Western blot analysis of various lysates using RPB3/POLR2C Rabbit mAb (CAB9744) at 1:500 dilution. Secondary antibody: HRP-conjugated Goat anti-Rabbit IgG (H+L) (CABS014) at 1:10000 dilution. Lysates/proteins: 25μg per lane. Blocking buffer: 3% nonfat dry milk in TBST. Detection: ECL Enhanced Kit (AbGn00021). Exposure time: 180s.
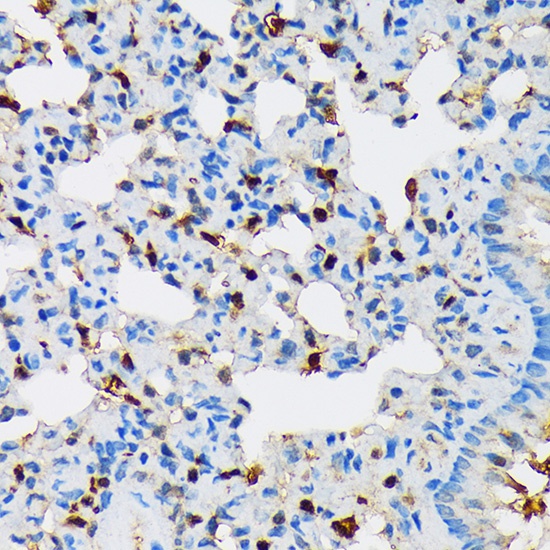
Immunohistochemistry analysis of paraffin-embedded Rat lung using RPB3/POLR2C Rabbit mAb (CAB9744) at dilution of 1:100 (40x lens). Microwave antigen retrieval performed with 0.01M Tris/EDTA Buffer (pH 9.0) prior to IHC staining.