The SBDS Monoclonal Antibody (CAB0796) is a high-quality antibody developed for reliable detection and analysis of target proteins. The antibody, raised in rabbits, is highly reactive with human samples and is validated for use in Western blot and immunohistochemistry applications.SBDS mutations have been linked to Shwachman-Diamond syndrome, a rare genetic disorder characterized by bone marrow failure, exocrine pancreatic insufficiency, and skeletal abnormalities.
This antibody is validated for use in WB, ELISA applications and has demonstrated reactivity against Human, Mouse, Rat samples.
Product Name:
SBDS Monoclonal Antibody
SKU:
CAB0796
Size:
20μL, 100μL
Reactivity:
Human, Mouse, Rat
Clone Number:
ARC2539
Conjugate:
Unconjugated
Immunogen:
Synthetic peptide. This information is considered to be commercially sensitive.
This gene encodes a highly conserved protein that plays an essential role in ribosome biogenesis. The encoded protein interacts with elongation factor-like GTPase 1 to disassociate eukaryotic initiation factor 6 from the late cytoplasmic pre-60S ribosomal subunit allowing assembly of the 80S subunit. Mutations within this gene are associated with the autosomal recessive disorder Shwachman-Bodian-Diamond syndrome. This gene has a closely linked pseudogene that is distally located.
Purification Method
Affinity purification
Gene ID
51119
Buffer Information
Store at -20℃. Avoid freeze / thaw cycles. Buffer: PBS containing 50% glycerol and 0.05% BSA, preserved with proclin300 or sodium azide, pH 7.3.
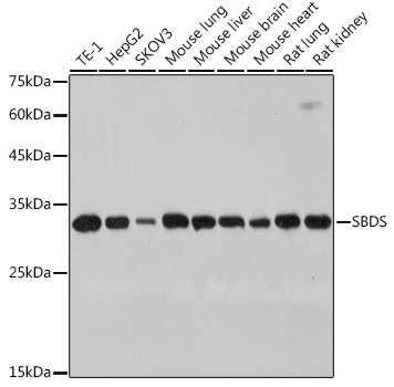
Western blot analysis of various lysates using SBDS Rabbit mAb (CAB0796) at 1:1000 dilution. Secondary antibody: HRP-conjugated Goat anti-Rabbit IgG (H+L) (CABS014) at 1:10000 dilution. Lysates/proteins: 25μg per lane. Blocking buffer: 3% nonfat dry milk in TBST. Detection: ECL Basic Kit (AbGn00020). Exposure time: 5s.