The STING Antibody (CAB20175) is a high-quality antibody developed for reliable detection and analysis of target proteins. This polyclonal antibody, generated in rabbits, exhibits strong reactivity with human samples and has been validated for use in various experimental techniques, including Western blotting. By targeting the STING protein, this antibody enables precise detection and analysis of STING expression in various cell types, making it an invaluable tool for studies in immunology and infectious diseases.
This antibody is validated for use in WB, IHC-P, ELISA applications and has demonstrated reactivity against Human, Mouse, Rat samples.
Product Name:
STING Antibody
SKU:
CAB20175
Size:
20μL, 100μL
Reactivity:
Human, Mouse, Rat
Conjugate:
Unconjugated
Immunogen:
Synthetic peptide. This information is considered to be commercially sensitive.
Autophagosome, Cytoplasm, Cytosol, Endoplasmic Reticulum, Endosome, Golgi Apparatus, Mitochondrial Outer Membrane, Nucleoplasm, Perinuclear Region Of Cytoplasm, Peroxisome, Plasma Membrane.
Calculated MW:
43kDa
Observed MW:
33kDa/35kDa
Enables 2',3'-cyclic GMP-AMP binding activity; cyclic-di-GMP binding activity; and ubiquitin protein ligase binding activity. Involved in several processes, including defense response to other organism; macroautophagy; and positive regulation of interferon-beta production. Acts upstream of or within cellular response to interferon-beta; positive regulation of transcription by RNA polymerase II; and regulation of inflammatory response. Located in several cellular components, including autophagosome; perinuclear region of cytoplasm; and peroxisome. Is expressed in ductus deferens; epididymis; ileum; and prostate gland. Human ortholog(s) of this gene implicated in STING-associated vasculopathy with onset in infancy. Orthologous to human STING1 (stimulator of interferon response cGAMP interactor 1).
Purification Method
Affinity purification
Gene ID
72512
RRID
AB_2862962
Buffer Information
Store at -20℃. Avoid freeze / thaw cycles. Buffer: PBS containing 50% glycerol, preserved with proclin300 or sodium azide, pH 7.3.
Western blot analysis of various lysates using STING Rabbit pAb (CAB20175) at 1:1000 dilution. Secondary antibody: HRP-conjugated Goat anti-Rabbit IgG (H+L) (CABS014) at 1:10000 dilution. Lysates/proteins: 25μg per lane. Blocking buffer: 3% nonfat dry milk in TBST. Detection: ECL Basic Kit (AbGn00020). Exposure time: 5s.
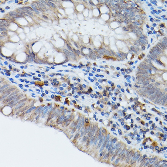
Immunohistochemistry analysis of paraffin-embedded Human colon carcinoma using STING Rabbit pAb (CAB20175) at dilution of 1:20 (40x lens). High pressure antigen retrieval performed with 0.01M Citrate buffer (pH 6.0) prior to IHC staining.
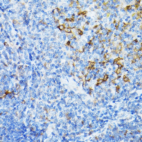
Immunohistochemistry analysis of paraffin-embedded Mouse spleen using STING Rabbit pAb (CAB20175) at dilution of 1:20 (40x lens). High pressure antigen retrieval performed with 0.01M Citrate buffer (pH 6.0) prior to IHC staining.