The Transportin 3 (TNPO3) Monoclonal Antibody (CAB19774) is a high-quality antibody developed for reliable detection and analysis of target proteins. This antibody, produced in rabbits, exhibits high reactivity with human samples and has been validated for use in Western blot applications. By binding to TNPO3, this antibody enables precise detection and analysis of the protein in various cell types, making it an ideal tool for studies in molecular biology and cellular transport mechanisms.TNPO3 plays a crucial role in mediating the transportation of proteins and RNA between the nucleus and cytoplasm, influencing various cellular processes such as gene expression and signaling pathways.
This antibody is validated for use in WB, IHC-P, IF/ICC, ELISA, IF-P applications and has demonstrated reactivity against Human, Mouse, Rat samples.
Product Name:
Transportin 3 (TNPO3) Monoclonal Antibody
SKU:
CAB19774
Size:
20μL, 100μL
Reactivity:
Human, Mouse, Rat
Clone Number:
ARC2310
Conjugate:
Unconjugated
Immunogen:
Synthetic peptide. This information is considered to be commercially sensitive.
The protein encoded by this gene is a nuclear import receptor for serine/arginine-rich (SR) proteins such as the splicing factors SFRS1 and SFRS2. The encoded protein has also been shown to be involved in HIV-1 infection, apparently through interaction with the HIV-1 capsid protein. Several protein-coding and non-coding transcript variants have been found for this gene.
Purification Method
Affinity purification
Gene ID
23534
Buffer Information
Store at -20℃. Avoid freeze / thaw cycles. Buffer: PBS containing 50% glycerol and 0.05% BSA, preserved with proclin300 or sodium azide, pH 7.3.
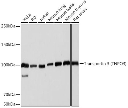
Western blot analysis of various lysates using Transportin 3 (Transportin 3 (TNPO3)) Rabbit mAb (CAB19774) at 1:1000 dilution. Secondary antibody: HRP-conjugated Goat anti-Rabbit IgG (H+L) (CABS014) at 1:10000 dilution. Lysates/proteins: 25μg per lane. Blocking buffer: 3% nonfat dry milk in TBST. Detection: ECL Basic Kit (AbGn00020). Exposure time: 3s.
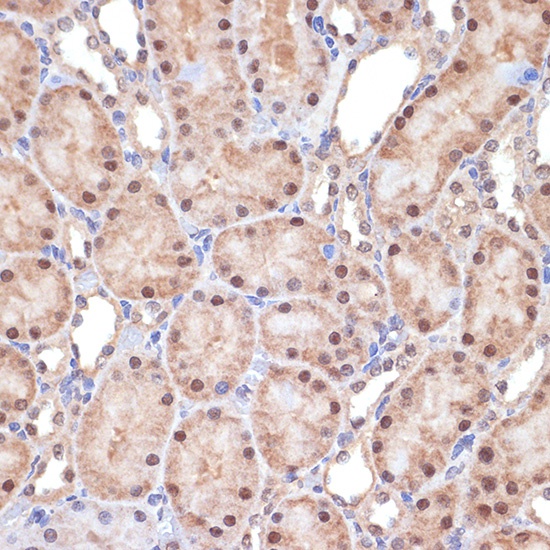
Immunohistochemistry analysis of paraffin-embedded Rat kidney using Transportin 3 (Transportin 3 (TNPO3)) Rabbit mAb (CAB19774) at dilution of 1:100 (40x lens). Microwave antigen retrieval performed with 0.01M Tris/EDTA Buffer (pH 9.0) prior to IHC staining.
Confocal imaging of paraffin-embedded Mouse kidney tissue using Transportin 3 (TNPO3) Rabbit mAb (CAB19774, dilution 1:100) followed by a further incubation with Cy3 Goat Anti-Rabbit IgG (H+L) (CABS007, dilution 1:500) (Red). DAPI was used for nuclear staining (Blue). Objective: 40x. Perform high pressure antigen retrieval with 0.01 M citrate buffer (pH 6.0) prior to IF staining.
Confocal imaging of NIH/3T3 cells using Transportin 3 (TNPO3) Rabbit mAb (CAB19774, dilution 1:100) followed by a further incubation with Cy3 Goat Anti-Rabbit IgG (H+L) (CABS007, dilution 1:500) (Red). The cells were counterstained with α-Tubulin Mouse mAb (AC012, dilution 1:400) followed by incubation with ABflo® 488-conjugated Goat Anti-Mouse IgG (H+L) Ab (CABS076, dilution 1:500) (Green). DAPI was used for nuclear staining (Blue). Objective: 100x.