The UPP1 Monoclonal Antibody (CAB0613) is a high-quality antibody developed for reliable detection and analysis of target proteins. This polyclonal antibody, produced in rabbits, exhibits high reactivity with human samples and has been validated for use in Western blot applications.UPP1 is a critical enzyme involved in the salvage pathway for nucleotide synthesis, making it essential for cellular proliferation and growth. Its dysregulation has been linked to various diseases, including cancer and metabolic disorders. By targeting UPP1 with this antibody, researchers can study its expression levels and activity in different cell types, providing valuable insights into its function and potential therapeutic applications.
This antibody is validated for use in WB, ELISA applications and has demonstrated reactivity against Human, Mouse, Rat samples.
Product Name:
UPP1 Monoclonal Antibody
SKU:
CAB0613
Size:
20μL, 100μL
Reactivity:
Human, Mouse, Rat
Clone Number:
ARC2531
Conjugate:
Unconjugated
Immunogen:
Synthetic peptide. This information is considered to be commercially sensitive.
Sequence:
MAAT GANA EKAE SHND CPVR LLNP NIAK MKED ILYH FNLT TSRH NFPA LFGD VKFV CVGG SPSR MKAF IRCV GAEL GLDC PGRD YPNI CAGT DRYA MYKV
Tested Applications:
WBELISA
Recommended Dilution:
WB
1:500 - 1:1000
ELISA
Recommended starting concentration is 1 μg/mL. Please optimize the concentration based on your specific assay requirements.
Synonyms:
UP, UPP, UPASE, UDRPASE, UPP1
Positive Sample:
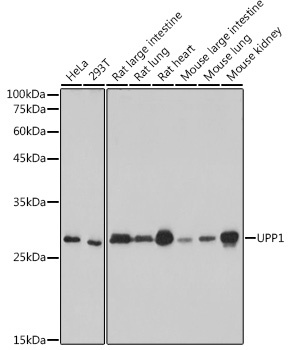
HeLa, 293T, Rat large intestine, Rat lung, Rat heart, Mouse large intestine, Mouse lung, Mouse kidney
Cellular Localization:
Cytosol, Nucleoplasm.
Calculated MW:
34kDa
Observed MW:
34kDa
This gene encodes a uridine phosphorylase, an enzyme that catalyzes the reversible phosphorylation of uridine (or 2'- deoxyuridine) to uracil and ribose-1-phosphate (or deoxyribose-1-phosphate). The encoded enzyme functions in the degradation and salvage of pyrimidine ribonucleosides.
Purification Method
Affinity purification
Gene ID
7378
Buffer Information
Store at -20℃. Avoid freeze / thaw cycles. Buffer: PBS containing 50% glycerol and 0.05% BSA, preserved with proclin300 or sodium azide, pH 7.3.
Western blot analysis of various lysates using UPP1 Rabbit mAb (CAB0613) at 1:1000 dilution. Secondary antibody: HRP-conjugated Goat anti-Rabbit IgG (H+L) (CABS014) at 1:10000 dilution. Lysates/proteins: 25μg per lane. Blocking buffer: 3% nonfat dry milk in TBST. Detection: ECL Basic Kit (AbGn00020). Exposure time: 3s.