The USP39 Monoclonal Antibody (CAB1393) is a high-quality antibody developed for reliable detection and analysis of target proteins. This antibody, produced in rabbits, exhibits strong reactivity towards human samples and is validated for use in Western blot applications. By specifically binding to the USP39 protein, this antibody enables precise detection and analysis in a variety of cell types, making it an invaluable asset for investigations in molecular biology and cancer research.
This antibody is validated for use in WB, IHC-P, ELISA applications and has demonstrated reactivity against Human, Rat samples.
Product Name:
USP39 Monoclonal Antibody
SKU:
CAB1393
Size:
20μL, 100μL
Reactivity:
Human, Rat
Clone Number:
ARC2565
Conjugate:
Unconjugated
Immunogen:
Synthetic peptide. This information is considered to be commercially sensitive.
Recommended starting concentration is 1 μg/mL. Please optimize the concentration based on your specific assay requirements.
Synonyms:
65K, SAD1, CGI-21, HSPC332, SNRNP65, USP39
Positive Sample:
HCT116
Cellular Localization:
Nucleus.
Calculated MW:
65kDa
Observed MW:
65kDa
Predicted to enable thiol-dependent deubiquitinase and zinc ion binding activity. Involved in spliceosomal complex assembly. Located in nucleoplasm. Part of U4/U6 x U5 tri-snRNP complex.
Purification Method
Affinity purification
Gene ID
10713
Buffer Information
Store at -20℃. Avoid freeze / thaw cycles. Buffer: PBS containing 50% glycerol and 0.05% BSA, preserved with proclin300 or sodium azide, pH 7.3.
Western blot analysis of lysates from HCT116 cells, using USP39 Rabbit mAb (CAB1393) at 1:1000 dilution.Secondary antibody: HRP-conjugated Goat anti-Rabbit IgG (H+L) (CABS014) at 1:10000 dilution.Lysates/proteins: 25μg per lane.Blocking buffer: 3% nonfat dry milk in TBST.Detection: ECL Basic Kit (AbGn00020).Exposure time: 1s.
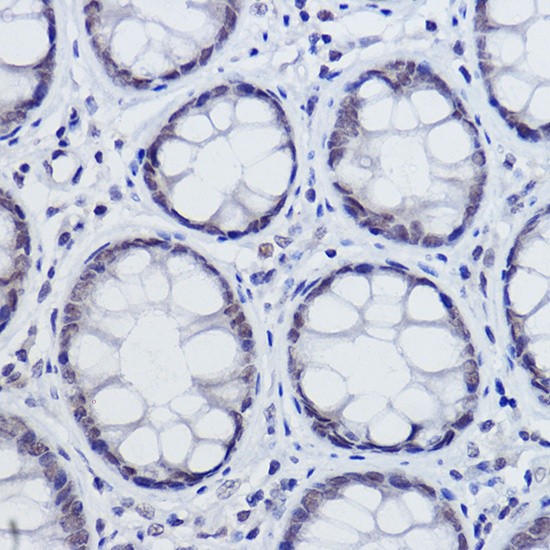
Immunohistochemistry analysis of paraffin-embedded Human colon carcinoma using USP39 Rabbit mAb (CAB1393) at dilution of 1:100 (40x lens). High pressure antigen retrieval performed with 0.01M Citrate buffer (pH 6.0) prior to IHC staining.