The WAVE2/WASF2 Monoclonal Antibody (CAB19601) is a high-quality antibody developed for reliable detection and analysis of target proteins. This antibody, raised in rabbits, is highly specific to human tissues and has been validated for use in Western blot applications. By binding to the Wave2/WASF2 protein, this antibody allows for precise detection and analysis in a variety of cell types, making it ideal for studies in cell biology and cancer research.Wave2/WASF2 is a critical component of the WAVE regulatory complex, which controls the formation of branched actin networks essential for cell movement and shape changes.
This antibody is validated for use in WB, IHC-P, ELISA applications and has demonstrated reactivity against Human, Mouse, Rat samples.
Product Name:
WAVE2/WASF2 Monoclonal Antibody
SKU:
CAB19601
Size:
20μL, 100μL
Reactivity:
Human, Mouse, Rat
Clone Number:
ARC2191
Conjugate:
Unconjugated
Immunogen:
Synthetic peptide. This information is considered to be commercially sensitive.
This gene encodes a member of the Wiskott-Aldrich syndrome protein family. The gene product is a protein that forms a multiprotein complex that links receptor kinases and actin. Binding to actin occurs through a C-terminal verprolin homology domain in all family members. The multiprotein complex serves to tranduce signals that involve changes in cell shape, motility or function. The published map location (PMID:10381382) has been changed based on recent genomic sequence comparisons, which indicate that the expressed gene is located on chromosome 1, and a pseudogene may be located on chromosome X. Two transcript variants encoding different isoforms have been found for this gene.
Purification Method
Affinity purification
Gene ID
10163
Buffer Information
Store at -20℃. Avoid freeze / thaw cycles. Buffer: PBS containing 50% glycerol and 0.05% BSA, preserved with proclin300 or sodium azide, pH 7.3.
Western blot analysis of various lysates using WAVE2/WASF2 Rabbit mAb (CAB19601) at 1:1000 dilution. Secondary antibody: HRP-conjugated Goat anti-Rabbit IgG (H+L) (CABS014) at 1:10000 dilution. Lysates/proteins: 25μg per lane. Blocking buffer: 3% nonfat dry milk in TBST. Detection: ECL Basic Kit (AbGn00020). Exposure time: 180s.
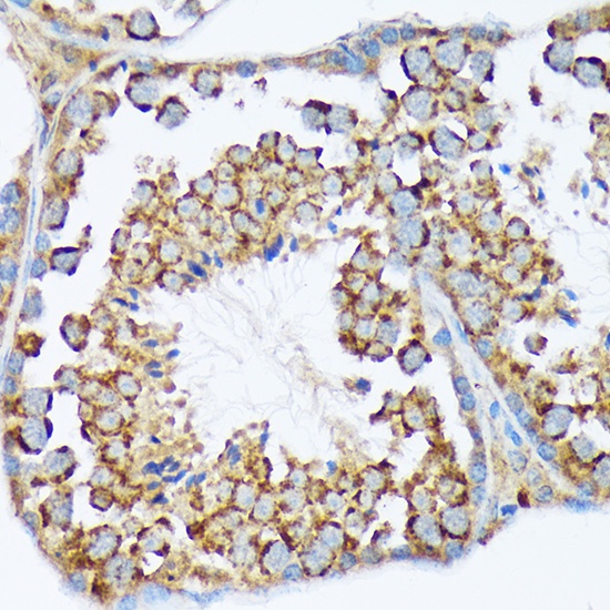
Immunohistochemistry analysis of paraffin-embedded Mouse testis tissue using WAVE2/WASF2 Rabbit mAb (CAB19601) at dilution of 1:100 (40x lens). Microwave antigen retrieval performed with 0.01M Tris/EDTA Buffer (pH 9.0) prior to IHC staining.