The WNT2B Monoclonal Antibody (CAB19554) is a high-quality antibody developed for reliable detection and analysis of target proteins. This antibody, produced through rabbit immunization, exhibits high reactivity with human samples and has been validated for use in Western blot applications. By specifically binding to the Wnt2b protein, researchers can detect and analyze its expression in different cell types, making it an essential tool for studies in developmental biology, stem cell research, and cancer biology.
This antibody is validated for use in WB, ELISA applications and has demonstrated reactivity against Human, Mouse, Rat samples.
Product Name:
WNT2B Monoclonal Antibody
SKU:
CAB19554
Size:
20μL, 100μL
Reactivity:
Human, Mouse, Rat
Clone Number:
ARC2172
Conjugate:
Unconjugated
Immunogen:
Recombinant protein (or fragment).This information is considered to be commercially sensitive.
Recommended starting concentration is 1 μg/mL. Please optimize the concentration based on your specific assay requirements.
Synonyms:
WNT13, WNT2B
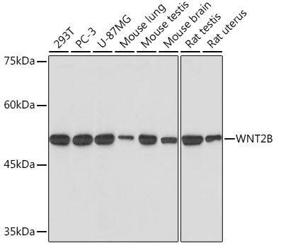
Positive Sample:
293T, PC-3, U-87MG, Mouse lung, Mouse testis, Mouse brain, Rat testis, Rat uterus
Cellular Localization:
Extracellular Region, Extracellular Space.
Calculated MW:
44kDa
Observed MW:
50kDa
This gene encodes a member of the wingless-type MMTV integration site (WNT) family of highly conserved, secreted signaling factors. WNT family members function in a variety of developmental processes including regulation of cell growth and differentiation and are characterized by a WNT-core domain. This gene may play a role in human development as well as carcinogenesis. Alternative splicing results in multiple transcript variants.
Purification Method
Affinity purification
Gene ID
7482
Buffer Information
Store at -20℃. Avoid freeze / thaw cycles. Buffer: PBS containing 50% glycerol and 0.05% BSA, preserved with proclin300 or sodium azide, pH 7.3.
Western blot analysis of various lysates using WNT2B Rabbit mAb (CAB19554) at 1:1000 dilution. Secondary antibody: HRP-conjugated Goat anti-Rabbit IgG (H+L) (CABS014) at 1:10000 dilution. Lysates/proteins: 25μg per lane. Blocking buffer: 3% nonfat dry milk in TBST. Detection: ECL Basic Kit (AbGn00020). Exposure time: 10s.