The Y14/RBM8A Monoclonal Antibody (CAB19599) is a high-quality antibody developed for reliable detection and analysis of target proteins. This polyclonal antibody, produced in rabbits, exhibits high specificity and sensitivity when detecting Y14/RBM8A in human samples, making it suitable for use in Western blot applications.Y14/RBM8A is a crucial protein involved in the splicing of pre-mRNA and the export of mature mRNA from the nucleus to the cytoplasm. Dysregulation of this process can have profound impacts on gene expression and cellular function, and is implicated in various diseases, including cancer. By targeting Y14/RBM8A with this antibody, researchers can gain insights into its expression levels, localization, and interactions with other proteins, advancing our understanding of mRNA processing mechanisms.
This antibody is validated for use in WB, ELISA applications and has demonstrated reactivity against Human, Mouse, Rat samples.
Product Name:
Y14/RBM8A Monoclonal Antibody
SKU:
CAB19599
Size:
20μL, 100μL
Reactivity:
Human, Mouse, Rat
Clone Number:
ARC2189
Conjugate:
Unconjugated
Immunogen:
Synthetic peptide. This information is considered to be commercially sensitive.
This gene encodes a protein with a conserved RNA-binding motif. The protein is found predominantly in the nucleus, although it is also present in the cytoplasm. It is preferentially associated with mRNAs produced by splicing, including both nuclear mRNAs and newly exported cytoplasmic mRNAs. It is thought that the protein remains associated with spliced mRNAs as a tag to indicate where introns had been present, thus coupling pre- and post-mRNA splicing events. Previously, it was thought that two genes encode this protein, RBM8A and RBM8B; it is now thought that the RBM8B locus is a pseudogene. There are two alternate translation start codons with this gene, which result in two forms of the protein. An allele mutation and a low-frequency noncoding single-nucleotide polymorphism (SNP) in this gene cause thrombocytopenia-absent radius (TAR) syndrome.
Purification Method
Affinity purification
Gene ID
9939
Buffer Information
Store at -20℃. Avoid freeze / thaw cycles. Buffer: PBS containing 50% glycerol and 0.05% BSA, preserved with proclin300 or sodium azide, pH 7.3.
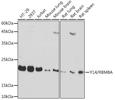
Western blot analysis of various lysates using Y14/RBM8A Rabbit mAb (CAB19599) at 1:1000 dilution. Secondary antibody: HRP-conjugated Goat anti-Rabbit IgG (H+L) (CABS014) at 1:10000 dilution. Lysates/proteins: 25μg per lane. Blocking buffer: 3% nonfat dry milk in TBST. Detection: ECL Basic Kit (AbGn00020). Exposure time: 20s.