The AP2B1 Antibody (CAB1995) is a high-quality antibody developed for reliable detection and analysis of target proteins. This antibody, generated in rabbits, exhibits high reactivity with human samples and has been validated for use in Western blot applications.AP2B1 is essential for the internalization of cell surface receptors and the transport of cargo proteins in vesicles, making it a critical player in cellular trafficking processes. By targeting AP2B1 with this antibody, researchers can detect and analyze the protein in various cell types, aiding in the investigation of endocytic pathways and their role in cellular function.
This antibody is validated for use in WB, IHC-P, ELISA applications and has demonstrated reactivity against Human, Mouse, Rat samples.
Product Name:
AP2B1 Antibody
SKU:
CAB1995
Size:
20μL, 100μL
Reactivity:
Human, Mouse, Rat
Conjugate:
Unconjugated
Immunogen:
Recombinant protein (or fragment).This information is considered to be commercially sensitive.
The protein encoded by this gene is one of two large chain components of the assembly protein complex 2, which serves to link clathrin to receptors in coated vesicles. The encoded protein is found on the cytoplasmic face of coated vesicles in the plasma membrane. Two transcript variants encoding different isoforms have been found for this gene.
Purification Method
Affinity purification
Gene ID
163
RRID
AB_2764020
Buffer Information
Store at -20℃. Avoid freeze / thaw cycles. Buffer: PBS containing 50% glycerol, preserved with proclin300 or sodium azide, pH 7.3.
Western blot analysis of various lysates using AP2B1 Rabbit pAb (CAB1995) at 1:500 dilution. Secondary antibody: HRP-conjugated Goat anti-Rabbit IgG (H+L) (CABS014) at 1:10000 dilution. Lysates/proteins: 25μg per lane. Blocking buffer: 3% nonfat dry milk in TBST. Detection: ECL Basic Kit (AbGn00020). Exposure time: 10s.
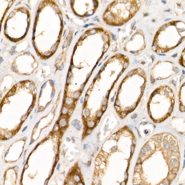
Immunohistochemistry analysis of paraffin-embedded Human kidney using AP2B1 Rabbit pAb (CAB1995) at dilution of 1:20 (40x lens). High pressure antigen retrieval performed with 0.01M Citrate buffer (pH 6.0) prior to IHC staining.
Immunohistochemistry analysis of paraffin-embedded Rat brain using AP2B1 Rabbit pAb (CAB1995) at dilution of 1:20 (40x lens). High pressure antigen retrieval performed with 0.01M Citrate buffer (pH 6.0) prior to IHC staining.