The ASNA1 Antibody (CAB3746) is a high-quality antibody developed for reliable detection and analysis of target proteins. This antibody, generated in rabbits, exhibits high reactivity with human samples and has been validated for Western blot applications. By binding specifically to the ASNA1 protein, researchers can detect and analyze its expression in various cell types, making it an ideal choice for studies in cell biology and protein metabolism.ASNA1, also known as ATPase ASNA1 or TRC40, is a key player in the cellular process of co-translational protein targeting to the endoplasmic reticulum. Dysregulation of ASNA1 function has been linked to various diseases, including neurodegenerative disorders and certain cancers.
This antibody is validated for use in WB, IF/ICC, ELISA applications and has demonstrated reactivity against Human, Mouse, Rat samples.
Product Name:
ASNA1 Antibody
SKU:
CAB3746
Size:
20μL, 100μL
Reactivity:
Human, Mouse, Rat
Conjugate:
Unconjugated
Immunogen:
Recombinant protein (or fragment).This information is considered to be commercially sensitive.
This gene represents the human homolog of the bacterial arsA gene, encoding the arsenite-stimulated ATPase component of the arsenite transporter responsible for resistance to arsenicals. This protein is also a central component of a transmembrane domain (TMD) recognition complex (TRC) that is involved in the post-translational delivery of tail-anchored (TA) proteins from the cytosol to the endoplasmic reticulum (ER). It recognizes and selectively binds the TMD of TA proteins in the cytosol, and delivers them to the ER for insertion.
Purification Method
Affinity purification
Gene ID
439
RRID
AB_2765245
Buffer Information
Store at -20℃. Avoid freeze / thaw cycles. Buffer: PBS containing 50% glycerol, preserved with proclin300 or sodium azide, pH 7.3.
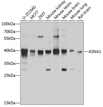
Western blot analysis of various lysates using ASNA1 Rabbit pAb (CAB3746) at 1:1000 dilution. Secondary antibody: HRP-conjugated Goat anti-Rabbit IgG (H+L) (CABS014) at 1:10000 dilution. Lysates/proteins: 25μg per lane. Blocking buffer: 3% nonfat dry milk in TBST. Detection: ECL Basic Kit (AbGn00020). Exposure time: 90s.
Immunofluorescence analysis of HeLa cells using ASNA1 Rabbit pAb (CAB3746) at dilution of 1:100. Secondary antibody: Cy3-conjugated Goat anti-Rabbit IgG (H+L) (CABS007) at 1:500 dilution. Blue: DAPI for nuclear staining.