The BBS10 Polyclonal Antibody (CAB8820) is a valuable tool for researchers studying BBS10, a protein associated with Bardet-Biedl Syndrome (BBS). This antibody, produced in rabbits, demonstrates high reactivity with human samples and is validated for use in Western blot applications. By specifically binding to the BBS10 protein, this antibody enables accurate detection and analysis in a variety of cell types, making it ideal for research in genetics, developmental biology, and rare genetic disorders.BBS10 is part of a complex protein network involved in ciliary function and intraflagellar transport, making it crucial for normal development and sensory perception.
Mutations in the BBS10 gene can lead to Bardet-Biedl Syndrome, a multisystemic disorder characterized by obesity, retinal degeneration, kidney abnormalities, and other symptoms. Investigating the role of BBS10 using this antibody can provide insights into the molecular mechanisms underlying BBS and potentially aid in the development of targeted therapies for patients affected by this rare genetic condition.
Product Name:
BBS10 Rabbit Polyclonal Antibody
SKU:
CAB8820
Size:
20uL, 100uL
Isotype:
IgG
Host Species:
Rabbit
Reactivity:
Human,Mouse
Immunogen:
Recombinant fusion protein containing a sequence corresponding to amino acids 474-723 of human BBS10 (NP_078961.3).
This gene is a member of the Bardet-Biedl syndrome (BBS) gene family. Bardet-Biedl syndrome is an autosomal recessive disorder characterized by progressive retinal degeneration, obesity, polydactyly, renal malformation and cognitive disability. The proteins encoded by BBS gene family members are structurally diverse and the similar phenotypes exhibited by mutations in BBS gene family members is likely due to their shared roles in cilia formation and function. Many BBS proteins localize to the basal bodies, ciliary axonemes, and pericentriolar regions of cells. BBS proteins may also be involved in intracellular trafficking via microtubule-related transport. The protein encoded by this gene is likely not a ciliary protein but rather has distant sequence homology to type II chaperonins. As a molecular chaperone, this protein may affect the folding or stability of other ciliary or basal body proteins. Inhibition of this protein's expression impairs ciliogenesis in preadipocytes. Mutations in this gene cause Bardet-Biedl syndrome type 10.
Purification Method:
Affinity purification
Gene ID:
79738
Storage Buffer:
Store at -20℃. Avoid freeze / thaw cycles.Buffer: PBS with 0.02% sodium azide,50% glycerol,pH7.3.
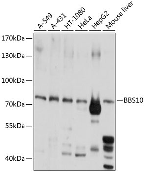
Western blot analysis of extracts of various cell lines, using BBS10 antibody (CAB8820) at 1:1000 dilution.Secondary antibody: HRP Goat Anti-Rabbit IgG (H+L) (CABS014) at 1:10000 dilution.Lysates/proteins: 25μg per lane.Blocking buffer: 3% nonfat dry milk in TBST.Detection: ECL Basic Kit (AbGn00020).Exposure time: 3s.