The BTD Antibody (CAB6284) is a high-quality antibody developed for reliable detection and analysis of target proteins. This antibody, produced in rabbits, exhibits high reactivity with human samples and is validated for use in various applications, including Western blotting.Biotinidase is responsible for recycling biotin, a B-vitamin essential for various metabolic pathways, and deficiency in this enzyme can lead to severe neurological and developmental issues. By targeting biotinidase, researchers can gain insights into biotin metabolism and potential therapeutic strategies for disorders related to biotin deficiency.
This antibody is validated for use in WB, IHC-P, ELISA applications and has demonstrated reactivity against Human, Mouse, Rat samples.
Product Name:
BTD Antibody
SKU:
CAB6284
Size:
20μL, 100μL
Reactivity:
Human, Mouse, Rat
Conjugate:
Unconjugated
Immunogen:
Recombinant protein (or fragment).This information is considered to be commercially sensitive.
Recommended starting concentration is 1 μg/mL. Please optimize the concentration based on your specific assay requirements.
Synonyms:
BTD
Positive Sample:
Mouse liver, Mouse kidney
Cellular Localization:
Secreted, Extracellular Space.
Calculated MW:
61kDa
Observed MW:
61kDa
The protein encoded by this gene functions to recycle protein-bound biotin by cleaving biocytin (biotin-epsilon-lysine), a normal product of carboxylase degradation, resulting in regeneration of free biotin. The encoded protein has also been shown to have biotinyl transferase activity. Mutations in this gene are associated with biotinidase deficiency. Multiple transcript variants encoding different isoforms have been described.
Purification Method
Affinity purification
Gene ID
686
RRID
AB_2766889
Buffer Information
Store at -20℃. Avoid freeze / thaw cycles. Buffer: PBS containing 50% glycerol, preserved with proclin300 or sodium azide, pH 7.3.
Western blot analysis of various lysates using BTD Rabbit pAb (CAB6284) at 1:1000 dilution. Secondary antibody: HRP-conjugated Goat anti-Rabbit IgG (H+L) (CABS014) at 1:10000 dilution. Lysates/proteins: 25μg per lane. Blocking buffer: 3% nonfat dry milk in TBST. Detection: ECL Enhanced Kit (AbGn00021). Exposure time: 90s.
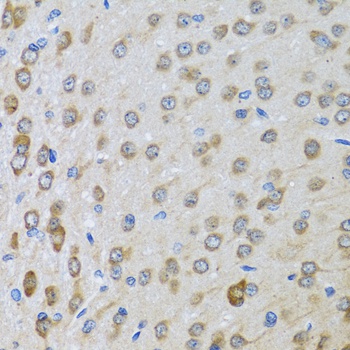
Immunohistochemistry analysis of paraffin-embedded Rat brain using BTD Rabbit pAb (CAB6284) at dilution of 1:100 (40x lens). Microwave antigen retrieval performed with 0.01M PBS Buffer (pH 7.2) prior to IHC staining.
Immunohistochemistry analysis of paraffin-embedded Human prostate using BTD Rabbit pAb (CAB6284) at dilution of 1:100 (40x lens). Microwave antigen retrieval performed with 0.01M PBS Buffer (pH 7.2) prior to IHC staining.