The BRD3 Antibody (CAB2277) is a high-quality antibody developed for reliable detection and analysis of target proteins. This antibody, produced in rabbits, is specifically designed for detecting and analyzing BRD3 protein in human samples. Validated for use in Western blot applications, this antibody offers high reactivity and specificity for studying BRD3 in various cell types.BRD3 is a member of the bromodomain and extraterminal domain (BET) family of proteins, known for their role in gene regulation and transcriptional activation. BRD3 specifically plays a crucial role in cell proliferation, differentiation, and oncogenesis, making it a promising target for cancer research and therapeutic development.
This antibody is validated for use in WB, IHC-P, ELISA applications and has demonstrated reactivity against Human, Rat samples.
Product Name:
BRD3 Antibody
SKU:
CAB2277
Size:
20μL, 100μL
Reactivity:
Human, Rat
Conjugate:
Unconjugated
Immunogen:
Recombinant protein (or fragment).This information is considered to be commercially sensitive.
Recommended starting concentration is 1 μg/mL. Please optimize the concentration based on your specific assay requirements.
Synonyms:
ORFX, FSHRG2, RING3L, BRD3
Positive Sample:
Jurkat, HeLa, HepG2, DU145, BT-474
Cellular Localization:
Nucleus.
Calculated MW:
80kDa
Observed MW:
115kDa
This gene was identified based on its homology to the gene encoding the RING3 protein, a serine/threonine kinase. The gene localizes to 9q34, a region which contains several major histocompatibility complex (MHC) genes. The function of the encoded protein is not known.
Purification Method
Affinity purification
Gene ID
8019
RRID
AB_2764269
Buffer Information
Store at -20℃. Avoid freeze / thaw cycles. Buffer: PBS containing 50% glycerol, preserved with proclin300 or sodium azide, pH 7.3.
Western blot analysis of various lysates using BRD3 Rabbit pAb (CAB2277) at 1:1000 dilution. Secondary antibody: HRP-conjugated Goat anti-Rabbit IgG (H+L) (CABS014) at 1:10000 dilution. Lysates/proteins: 25μg per lane. Blocking buffer: 3% nonfat dry milk in TBST. Detection: ECL Basic Kit (AbGn00020). Exposure time: 5s.
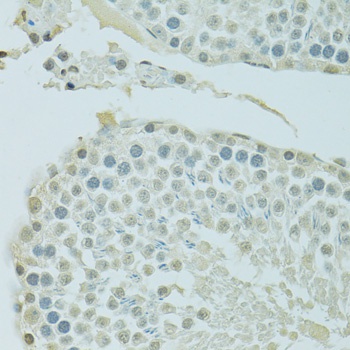
Immunohistochemistry analysis of paraffin-embedded Rat testis using BRD3 Rabbit pAb (CAB2277) at dilution of 1:100 (40x lens). Microwave antigen retrieval performed with 0.01M PBS Buffer (pH 7.2) prior to IHC staining.