The CARD10 Antibody (CAB7368) is a high-quality antibody developed for reliable detection and analysis of target proteins. This antibody, derived from rabbit immunization, exhibits high specificity and sensitivity towards human samples, making it ideal for use in Western blot applications.CARD10, also known as caspase recruitment domain-containing protein 10, is a key component of signaling pathways involved in immune cell activation and inflammation. Dysregulation of CARD10 has been linked to the development of inflammatory diseases and certain types of cancer, highlighting its importance in disease pathogenesis.
This antibody is validated for use in WB, IHC-P, ELISA applications and has demonstrated reactivity against Human, Mouse, Rat samples.
Product Name:
CARD10 Antibody
SKU:
CAB7368
Size:
20μL, 100μL
Reactivity:
Human, Mouse, Rat
Conjugate:
Unconjugated
Immunogen:
Recombinant protein (or fragment).This information is considered to be commercially sensitive.
Recommended starting concentration is 1 μg/mL. Please optimize the concentration based on your specific assay requirements.
Synonyms:
BIMP1, IMD89, CARMA3, CARD10
Positive Sample:
Mouse kidney, Rat kidney
Cellular Localization:
Cytoplasm.
Calculated MW:
116kDa
Observed MW:
116kDa
The caspase recruitment domain (CARD) is a protein module that consists of 6 or 7 antiparallel alpha helices. It participates in apoptosis signaling through highly specific protein-protein homophilic interactions. Like several other CARD proteins, CARD10 belongs to the membrane-associated guanylate kinase (MAGUK) family and activates NF-kappa-B (NFKB; see MIM 164011) through BCL10 (MIM 603517) (Wang et al., 2001 [PubMed 11259443]).
Purification Method
Affinity purification
Gene ID
29775
RRID
AB_2767902
Buffer Information
Store at -20℃. Avoid freeze / thaw cycles. Buffer: PBS containing 50% glycerol, preserved with proclin300 or sodium azide, pH 7.3.
Western blot analysis of lysates from Mouse kidney, using CARD10 Rabbit pAb (CAB7368) at 1:500 dilution. Secondary antibody: HRP-conjugated Goat anti-Rabbit IgG (H+L) (CABS014) at 1:10000 dilution. Lysates/proteins: 25μg per lane. Blocking buffer: 3% nonfat dry milk in TBST. Detection: ECL Basic Kit (AbGn00020). Exposure time: 10s.
Western blot analysis of lysates from Rat kidney, using CARD10 Rabbit pAb (CAB7368) at 1:500 dilution. Secondary antibody: HRP-conjugated Goat anti-Rabbit IgG (H+L) (CABS014) at 1:10000 dilution. Lysates/proteins: 25μg per lane. Blocking buffer: 3% nonfat dry milk in TBST. Detection: ECL Basic Kit (AbGn00020). Exposure time: 30s.
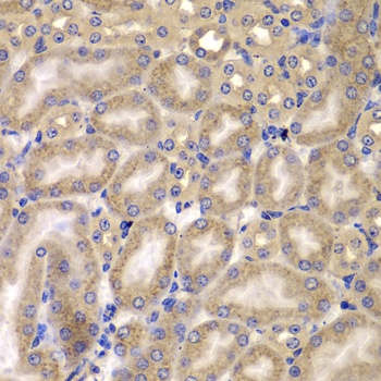
Immunohistochemistry analysis of paraffin-embedded Mouse kidney using CARD10 Rabbit pAb (CAB7368) at dilution of 1:100 (40x lens). Microwave antigen retrieval performed with 0.01M PBS Buffer (pH 7.2) prior to IHC staining.