The CARD11 Monoclonal Antibody (CAB9652) is a high-quality antibody developed for reliable detection and analysis of target proteins. This antibody, produced using rabbit monoclonal technology, is highly reactive with human samples and is validated for use in various applications, including Western blot and immunohistochemistry.CARD11, also known as caspase recruitment domain family member 11, plays a vital role in regulating immune responses by activating NF-kB signaling pathways. Dysregulation of CARD11 has been implicated in various immune disorders, making it a key target for research in immunology and cancer biology.
This antibody is validated for use in WB, IHC-P, ELISA, IF-P applications and has demonstrated reactivity against Human, Mouse, Rat samples.
Product Name:
CARD11 Monoclonal Antibody
SKU:
CAB9652
Size:
20μL, 100μL
Reactivity:
Human, Mouse, Rat
Clone Number:
ARC1680
Conjugate:
Unconjugated
Immunogen:
Synthetic peptide. This information is considered to be commercially sensitive.
Recommended starting concentration is 1 μg/mL. Please optimize the concentration based on your specific assay requirements.
Synonyms:
PPBL, BENTA, BIMP3, IMD11, CARMA1, IMD11A, CARD11
Positive Sample:
K-562, Raji, Mouse thymus
Cellular Localization:
Cytoplasm, Membrane Raft.
Calculated MW:
133kDa
Observed MW:
150kDa
The protein encoded by this gene belongs to the membrane-associated guanylate kinase (MAGUK) family, a class of proteins that functions as molecular scaffolds for the assembly of multiprotein complexes at specialized regions of the plasma membrane. This protein is also a member of the CARD protein family, which is defined by carrying a characteristic caspase-associated recruitment domain (CARD). This protein has a domain structure similar to that of CARD14 protein. The CARD domains of both proteins have been shown to specifically interact with BCL10, a protein known to function as a positive regulator of cell apoptosis and NF-kappaB activation. When expressed in cells, this protein activated NF-kappaB and induced the phosphorylation of BCL10.
Purification Method
Affinity purification
Gene ID
84433
RRID
AB_2863748
Buffer Information
Store at -20℃. Avoid freeze / thaw cycles. Buffer: PBS containing 50% glycerol and 0.05% BSA, preserved with proclin300 or sodium azide, pH 7.3.
Western blot analysis of various lysates using CARD11 Rabbit mAb (CAB9652) at 1:1000 dilution. Secondary antibody: HRP-conjugated Goat anti-Rabbit IgG (H+L) (CABS014) at 1:10000 dilution. Lysates/proteins: 25μg per lane. Blocking buffer: 3% nonfat dry milk in TBST. Detection: ECL Basic Kit (AbGn00020). Exposure time: 1s.
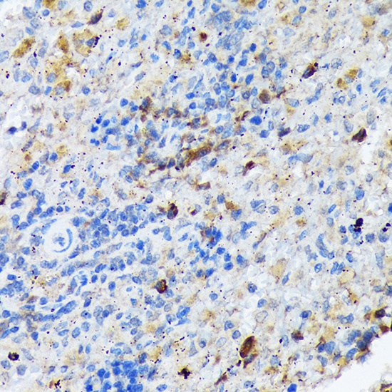
Immunohistochemistry analysis of paraffin-embedded Rat spleen using CARD11 Rabbit mAb (CAB9652) at dilution of 1:100 (40x lens). Microwave antigen retrieval performed with 0.01M Tris/EDTA Buffer (pH 9.0) prior to IHC staining.
Immunofluorescence analysis of paraffin-embedded rat spleen using CARD11 Rabbit mAb (CAB9652) at dilution of 1:100 (40x lens). Secondary antibody: Cy3-conjugated Goat anti-Rabbit IgG (H+L) (CABS007) at 1:500 dilution. Blue: DAPI for nuclear staining.
Immunofluorescence analysis of paraffin-embedded mouse spleen using CARD11 Rabbit mAb (CAB9652) at dilution of 1:100 (40x lens). Secondary antibody: Cy3-conjugated Goat anti-Rabbit IgG (H+L) (CABS007) at 1:500 dilution. Blue: DAPI for nuclear staining.