The CBR1 Polyclonal Antibody (CAB5446) is a valuable tool for researchers studying CBR1, a key enzyme involved in the metabolism of endogenous and exogenous compounds. This rabbit-derived antibody exhibits high specificity and reactivity with human samples, making it an excellent choice for Western blot applications. By targeting the CBR1 protein, this antibody enables precise detection and analysis in a variety of cell types, making it an essential tool for studies in pharmacology, toxicology, and drug metabolism research.CBR1, also known as carbonyl reductase 1, plays a crucial role in the metabolism and detoxification of a wide range of endogenous and xenobiotic substrates, including drugs, steroids, and carcinogens.
Understanding the function and regulation of CBR1 is essential for developing new therapeutic approaches for conditions such as cancer, drug toxicity, and metabolic disorders. The CBR1 Polyclonal Antibody provides researchers with a powerful tool for investigating the role of this enzyme in health and disease, paving the way for new insights and potential treatments.
Product Name:
CBR1 Rabbit Polyclonal Antibody
SKU:
CAB5446
Size:
20uL, 100uL
Isotype:
IgG
Host Species:
Rabbit
Reactivity:
Human,Mouse
Immunogen:
Recombinant fusion protein containing a sequence corresponding to amino acids 1-277 of human CBR1 (NP_001748.1).
The protein encoded by this gene belongs to the short-chain dehydrogenases/reductases (SDR) family, which function as NADPH-dependent oxidoreductases having wide specificity for carbonyl compounds, such as quinones, prostaglandins, and various xenobiotics. Alternatively spliced transcript variants have been found for this gene.
Purification Method:
Affinity purification
Gene ID:
873
Storage Buffer:
Store at -20℃. Avoid freeze / thaw cycles.Buffer: PBS with 0.02% sodium azide,50% glycerol,pH7.3.
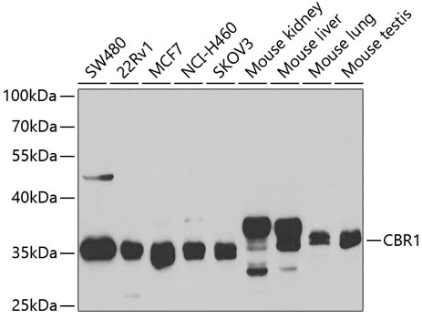
Western blot analysis of extracts of various cell lines, using CBR1 antibody (CAB5446) at 1:1000 dilution.Secondary antibody: HRP Goat Anti-Rabbit IgG (H+L) (CABS014) at 1:10000 dilution.Lysates/proteins: 25μg per lane.Blocking buffer: 3% nonfat dry milk in TBST.Detection: ECL Basic Kit (AbGn00020).Exposure time: 5s.