The CC2D1A Antibody (CAB4800) is a high-quality antibody developed for reliable detection and analysis of target proteins. This antibody, produced in rabbits, demonstrates high reactivity with human samples and has been validated for use in Western blot applications.CC2D1A is known to interact with proteins involved in endosomal trafficking and plays a role in regulating gene expression. Dysfunction of CC2D1A has been linked to intellectual disabilities and neurodevelopmental disorders.
This antibody is validated for use in WB, IHC-P, ELISA applications and has demonstrated reactivity against Human, Mouse, Rat samples.
Product Name:
CC2D1A Antibody
SKU:
CAB4800
Size:
20μL, 100μL
Reactivity:
Human, Mouse, Rat
Conjugate:
Unconjugated
Immunogen:
Recombinant protein (or fragment).This information is considered to be commercially sensitive.
Sequence:
MHKR KGPP GPPG RGAA AARQ LGLL VDLS PDGL MIPE DGAN DEEL EAEF LALV GGQP PALE KLKG KGPL PMEA IEKM ASLC MRDP DEDE EEGT DEDD LEAD DDLL AELN EVLG EEQK ASET PPPV AQPK PEAP HPGL ETTL QERL ALYQ TA
Tested Applications:
WBIHC-PELISA
Recommended Dilution:
WB
1:1000 - 1:2000
IHC-P
1:50 - 1:200
ELISA
Recommended starting concentration is 1 μg/mL. Please optimize the concentration based on your specific assay requirements.
This gene encodes a transcriptional repressor that binds to a conserved 14-bp 5'-repressor element and regulates expression of the 5-hydroxytryptamine (serotonin) receptor 1A gene in neuronal cells. The DNA binding and transcriptional repressor activities of the protein are inhibited by calcium. A mutation in this gene results in a nonsyndromic form of cognitive disability (MRT3).
Purification Method
Affinity purification
Gene ID
54862
RRID
AB_2765872
Buffer Information
Store at -20℃. Avoid freeze / thaw cycles. Buffer: PBS containing 50% glycerol, preserved with proclin300 or sodium azide, pH 7.3.
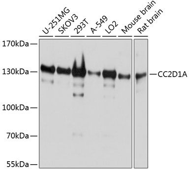
Western blot analysis of various lysates using CC2D1A Rabbit pAb (CAB4800) at 1:1000 dilution. Secondary antibody: HRP-conjugated Goat anti-Rabbit IgG (H+L) (CABS014) at 1:10000 dilution. Lysates/proteins: 25μg per lane. Blocking buffer: 3% nonfat dry milk in TBST. Detection: ECL Basic Kit (AbGn00020). Exposure time: 1s.
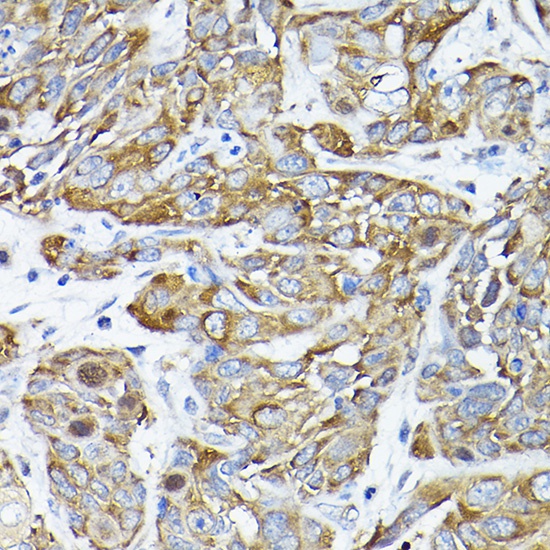
Immunohistochemistry analysis of paraffin-embedded Human esophageal cancer using CC2D1A Rabbit pAb (CAB4800) at dilution of 1:200 (40x lens). High pressure antigen retrieval performed with 0.01M Citrate buffer (pH 6.0) prior to IHC staining.