The CCNC Polyclonal Antibody (CAB13610) is a valuable tool for researchers studying the CCNC protein, a critical component in regulating cell cycle progression and gene expression. This antibody, produced in rabbits, has high reactivity with human samples and has been validated for use in Western blot applications. By binding specifically to the CCNC protein, this antibody enables precise detection and analysis in a variety of cell types, making it ideal for investigations in molecular biology and cancer research.
CCNC, also known as cyclin C, plays a key role in transcriptional regulation and cell cycle control, making it a key target for studies on cancer and other proliferative disorders. Understanding the function of CCNC can provide insights into the mechanisms of cell proliferation and potential therapeutic targets for cancer treatment. The CCNC Polyclonal Antibody is a valuable tool for researchers seeking to unravel the complexities of cell cycle regulation and gene expression.
Product Name:
Cyclin C Rabbit Polyclonal Antibody
SKU:
CAB13610
Size:
20uL, 100uL
Isotype:
IgG
Host Species:
Rabbit
Reactivity:
Human,Mouse,Rat
Immunogen:
Recombinant fusion protein containing a sequence corresponding to amino acids 1-283 of human Cyclin C (NP_005181.2).
The protein encoded by this gene is a member of the cyclin family of proteins. The encoded protein interacts with cyclin-dependent kinase 8 and induces the phophorylation of the carboxy-terminal domain of the large subunit of RNA polymerase II. The level of mRNAs for this gene peaks in the G1 phase of the cell cycle. Two transcript variants encoding different isoforms have been found for this gene.
Purification Method:
Affinity purification
Gene ID:
892
Storage Buffer:
Store at -20℃. Avoid freeze / thaw cycles.Buffer: PBS with 0.02% sodium azide,50% glycerol,pH7.3.
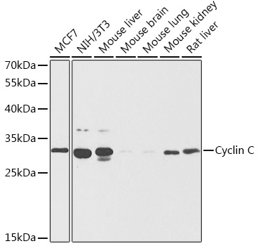
Western blot analysis of extracts of various cell lines, using Cyclin C antibody (CAB13610) at 1:1000 dilution.Secondary antibody: HRP Goat Anti-Rabbit IgG (H+L) (CABS014) at 1:10000 dilution.Lysates/proteins: 25μg per lane.Blocking buffer: 3% nonfat dry milk in TBST.Detection: ECL Basic Kit (AbGn00020).Exposure time: 60s.