The CD99 Antibody (CAB2028) is a high-quality antibody developed for reliable detection and analysis of target proteins. This antibody, produced in rabbits, has high specificity and sensitivity towards human samples, making it an ideal choice for Western blot assays.CD99 plays a crucial role in various cellular processes, including leukocyte migration, T cell activation, and apoptosis. Its aberrant expression has been linked to various diseases, including leukemia, Ewing sarcoma, and autoimmune disorders.
This antibody is validated for use in WB, IHC-P, IF/ICC, ELISA applications and has demonstrated reactivity against Human samples.
Product Name:
CD99 Antibody
SKU:
CAB2028
Size:
20μL, 100μL
Reactivity:
Human
Conjugate:
Unconjugated
Immunogen:
Recombinant protein (or fragment).This information is considered to be commercially sensitive.
Recommended starting concentration is 1 μg/mL. Please optimize the concentration based on your specific assay requirements.
Synonyms:
MIC2, HBA71, MIC2X, MIC2Y, MSK5X, CD99
Positive Sample:
Jurkat, U-251MG, U-937, BT-474, THP-1
Cellular Localization:
Membrane, Single-Pass Type I Membrane Protein.
Calculated MW:
19kDa
Observed MW:
22kDa
The protein encoded by this gene is a cell surface glycoprotein involved in leukocyte migration, T-cell adhesion, ganglioside GM1 and transmembrane protein transport, and T-cell death by a caspase-independent pathway. In addition, the encoded protein may have the ability to rearrange the actin cytoskeleton and may also act as an oncosuppressor in osteosarcoma. This gene is found in the pseudoautosomal region of chromosomes X and Y and escapes X-chromosome inactivation. There is a related pseudogene located immediately adjacent to this locus.
Purification Method
Affinity purification
Gene ID
4267
RRID
AB_2764052
Buffer Information
Store at -20℃. Avoid freeze / thaw cycles. Buffer: PBS containing 50% glycerol, preserved with proclin300 or sodium azide, pH 7.3.
Western blot analysis of various lysates using CD99 Rabbit pAb (CAB2028) at 1:1000 dilution. Secondary antibody: HRP-conjugated Goat anti-Rabbit IgG (H+L) (CABS014) at 1:10000 dilution. Lysates/proteins: 25μg per lane. Blocking buffer: 3% nonfat dry milk in TBST.
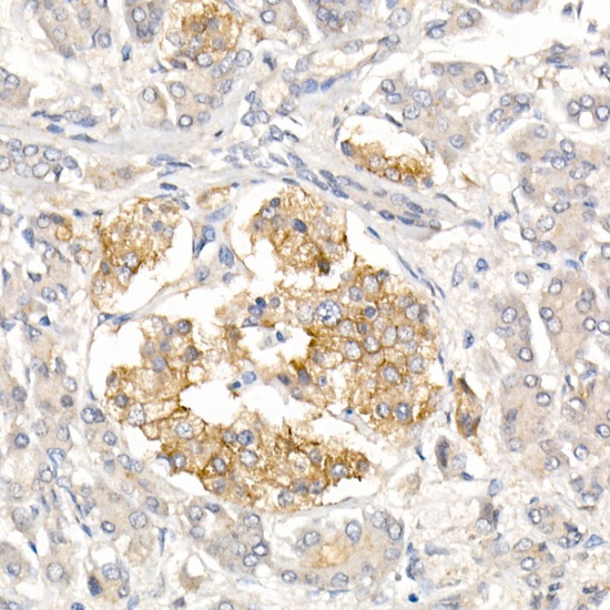
Immunohistochemistry analysis of paraffin-embedded Human islet using CD99 Rabbit pAb (CAB2028) at dilution of 1:50 (40x lens). High pressure antigen retrieval performed with 0.01M Citrate buffer (pH 6.0) prior to IHC staining.
Immunofluorescence analysis of Jurkat cells using CD99 Rabbit pAb (CAB2028) at dilution of 1:20 (40x lens). Secondary antibody: Cy3-conjugated Goat anti-Rabbit IgG (H+L) (CABS007) at 1:500 dilution. Blue: DAPI for nuclear staining.