The CDC37 Monoclonal Antibody (CAB4582) is a high-quality antibody developed for reliable detection and analysis of target proteins. This antibody, produced in rabbits, exhibits high specificity and sensitivity in detecting CDC37 in human samples, making it ideal for use in Western blot analyses.CDC37 is essential for maintaining the stability and activity of client proteins, particularly in the context of cell growth, proliferation, and survival pathways.
This antibody is validated for use in WB, ELISA applications and has demonstrated reactivity against Human, Mouse, Rat samples.
Product Name:
CDC37 Monoclonal Antibody
SKU:
CAB4582
Size:
20μL, 100μL
Reactivity:
Human, Mouse, Rat
Clone Number:
ARC1040
Conjugate:
Unconjugated
Immunogen:
Synthetic peptide. This information is considered to be commercially sensitive.
Sequence:
MVDY SVWD HIEV SDDE DETH PNID TASL FRWR HQAR VERM EQFQ KEKE ELDR GCRE CKRK VAEC QRKL KELE VAEG GKAE LERL QAEA QQLR KEER SWEQ
Tested Applications:
WBELISA
Recommended Dilution:
WB
1:500 - 1:1000
ELISA
Recommended starting concentration is 1 μg/mL. Please optimize the concentration based on your specific assay requirements.
Synonyms:
P50CDC37, CDC37
Positive Sample:
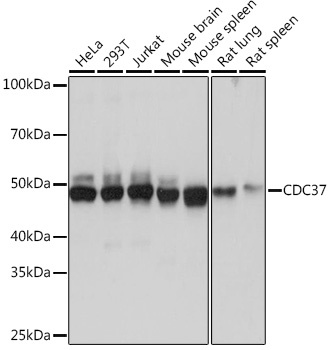
HeLa, 293T, Jurkat, Mouse brain, Mouse spleen, Rat lung, Rat spleen
Cellular Localization:
Cytoplasm.
Calculated MW:
44kDa
Observed MW:
50kDa
The protein encoded by this gene is highly similar to Cdc 37, a cell division cycle control protein of Sacchromyces cerevisiae. This protein is a molecular chaperone with specific function in cell signal transduction. It has been shown to form complex with Hsp90 and a variety of protein kinases including CDK4, CDK6, SRC, RAF-1, MOK, as well as eIF2 alpha kinases. It is thought to play a critical role in directing Hsp90 to its target kinases.
Purification Method
Affinity purification
Gene ID
11140
RRID
AB_2863302
Buffer Information
Store at -20℃. Avoid freeze / thaw cycles. Buffer: PBS containing 50% glycerol and 0.05% BSA, preserved with proclin300 or sodium azide, pH 7.3.
Western blot analysis of various lysates using CDC37 Rabbit mAb (CAB4582) at 1:1000 dilution. Secondary antibody: HRP-conjugated Goat anti-Rabbit IgG (H+L) (CABS014) at 1:10000 dilution. Lysates/proteins: 25μg per lane. Blocking buffer: 3% nonfat dry milk in TBST. Detection: ECL Basic Kit (AbGn00020). Exposure time: 1s.