The CETN3 Antibody (CAB8111) is a high-quality antibody developed for reliable detection and analysis of target proteins. This antibody, produced in rabbits, demonstrates high reactivity with human samples and has been validated for use in Western blot applications. By specifically binding to the Centrin-3 protein, this antibody enables precise detection and analysis in various cell types, making it an ideal choice for investigations in cell biology and developmental biology.
This antibody is validated for use in WB, IHC-P, IF/ICC, ELISA applications and has demonstrated reactivity against Human, Mouse, Rat samples.
Product Name:
CETN3 Antibody
SKU:
CAB8111
Size:
20μL, 100μL
Reactivity:
Human, Mouse, Rat
Conjugate:
Unconjugated
Immunogen:
Recombinant protein (or fragment).This information is considered to be commercially sensitive.
Cytoplasm, Nucleus, Centrosome, Cytoskeleton, Microtubule Organizing Center, Nucleolus.
Calculated MW:
20kDa
Observed MW:
20kDa
The protein encoded by this gene contains four EF-hand calcium binding domains, and is a member of the centrin protein family. Centrins are evolutionarily conserved proteins similar to the CDC31 protein of S. cerevisiae. Yeast CDC31 is located at the centrosome of interphase and mitotic cells, where it plays a fundamental role in centrosome duplication and separation. Multiple forms of the proteins similar to the yeast centrin have been identified in human and other mammalian cells, some of which have been shown to be associated with centrosome fractions. This protein appears to be one of the most abundant centrins associated with centrosome, which suggests a similar function to its yeast counterpart. Alternatively spliced transcript variants encoding different isoforms have been found for this gene.
Purification Method
Affinity purification
Gene ID
1070
RRID
AB_2768866
Buffer Information
Store at -20℃. Avoid freeze / thaw cycles. Buffer: PBS containing 50% glycerol, preserved with proclin300 or sodium azide, pH 7.3.
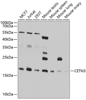
Western blot analysis of various lysates using CETN3 Rabbit pAb (CAB8111) at 1:1000 dilution. Secondary antibody: HRP-conjugated Goat anti-Rabbit IgG (H+L) (CABS014) at 1:10000 dilution. Lysates/proteins: 25μg per lane. Blocking buffer: 3% nonfat dry milk in TBST. Detection: ECL Basic Kit (AbGn00020). Exposure time: 90s.
Immunohistochemistry analysis of paraffin-embedded Human lung cancer using CETN3 Rabbit pAb (CAB8111) at dilution of 1:100 (40x lens). Microwave antigen retrieval performed with 0.01M PBS Buffer (pH 7.2) prior to IHC staining.
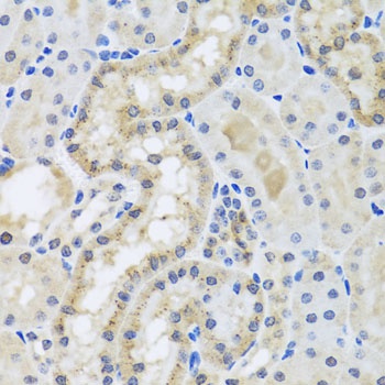
Immunohistochemistry analysis of paraffin-embedded Mouse kidney using CETN3 Rabbit pAb (CAB8111) at dilution of 1:100 (40x lens). Microwave antigen retrieval performed with 0.01M PBS Buffer (pH 7.2) prior to IHC staining.
Immunofluorescence analysis of C6 cells using CETN3 Rabbit pAb (CAB18111) at dilution of 1:100. Blue: DAPI for nuclear staining.
Immunofluorescence analysis of U2OS cells using CETN3 Rabbit pAb (CAB18111) at dilution of 1:100. Blue: DAPI for nuclear staining.