The CGN Antibody (CAB15489) is a high-quality antibody developed for reliable detection and analysis of target proteins. This antibody, produced in rabbits, exhibits high reactivity with human samples and has been rigorously validated for Western blot applications. By specifically targeting the CGN protein, this antibody enables precise detection and analysis in a variety of cell types, making it an essential tool for studies in molecular biology, cell signaling, and cancer research.CGN, also known as cingulin, plays a crucial role in cell adhesion and signal transduction pathways, making it a key player in maintaining cellular function and integrity.
This antibody is validated for use in WB, IHC-P, ELISA applications and has demonstrated reactivity against Human samples.
Product Name:
CGN Antibody
SKU:
CAB15489
Size:
20μL, 100μL
Reactivity:
Human
Conjugate:
Unconjugated
Immunogen:
Recombinant protein (or fragment).This information is considered to be commercially sensitive.
Recommended starting concentration is 1 μg/mL. Please optimize the concentration based on your specific assay requirements.
Synonyms:
CGN, cingulin
Positive Sample:
BxPC-3, 293T, LO2, A-549
Cellular Localization:
Cell Junction, Tight Junction.
Calculated MW:
137kDa
Observed MW:
160kDa
Enables cadherin binding activity. Predicted to act upstream of or within bicellular tight junction assembly; epithelial cell morphogenesis; and microtubule cytoskeleton organization. Located in bicellular tight junction and plasma membrane.
Purification Method
Affinity purification
Gene ID
57530
RRID
AB_2762888
Buffer Information
Store at -20℃. Avoid freeze / thaw cycles. Buffer: PBS with 0.01% thimerosal,50% glycerol,pH7.3.
Western blot analysis of various lysates using CGN Rabbit pAb (CAB15489) at 1:1000 dilution. Secondary antibody: HRP-conjugated Goat anti-Rabbit IgG (H+L) (CABS014) at 1:10000 dilution. Lysates/proteins: 25μg per lane. Blocking buffer: 3% nonfat dry milk in TBST. Detection: ECL Basic Kit (AbGn00020). Exposure time: 90s.
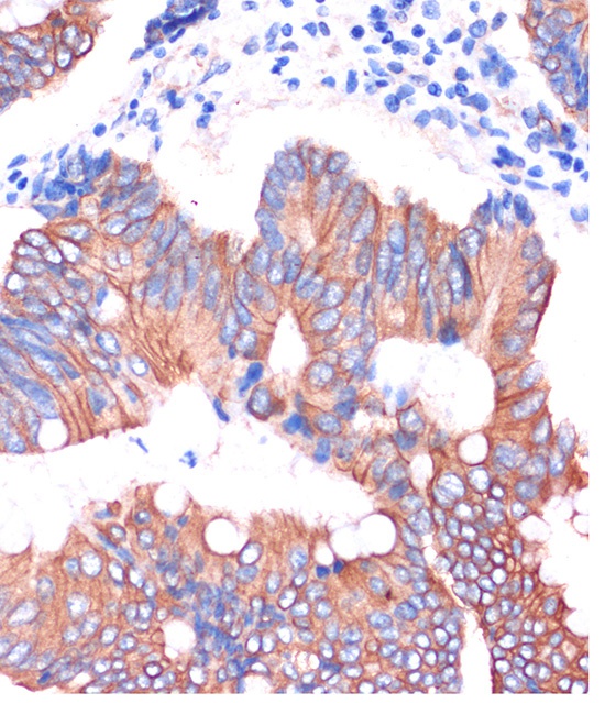
Immunohistochemistry analysis of paraffin-embedded Human colon carcinoma using CGN Rabbit pAb (CAB15489) at dilution of 1:100 (40x lens). Microwave antigen retrieval performed with 0.01M PBS Buffer (pH 7.2) prior to IHC staining.