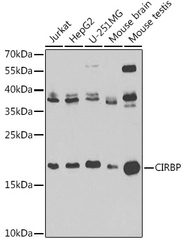
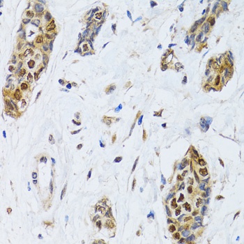
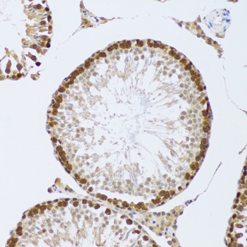
Description
[KO Validated] CIRBP Antibody (CAB6559)
The [KO Validated] CIRBP Antibody (CAB6559) is a high-quality antibody developed for reliable detection and analysis of target proteins. -
This antibody is validated for use in - applications and has demonstrated reactivity against - samples.
| Product Name: | [KO Validated] CIRBP Antibody |
| SKU: | CAB6559 |
| Size: | 100μL, 20μL |
| Reactivity: | - |
| Clone Number: | - |
| Conjugate: | - |
| Immunogen: | - |
| Tested Applications: | - |
| Recommended Dilution: | |
| Synonyms: | - |
| Positive Sample: | - |
| Cellular Localization: | - |
| Calculated MW: | - |
| Observed MW: | - |
-
| Purification Method: | - |
| Gene ID: | - |
| RRID: | - |
| Buffer Information: | - |



