The CLDN4 Antibody (CAB12912) is a high-quality antibody developed for reliable detection and analysis of target proteins. This antibody, produced in rabbits, exhibits high specificity and reactivity towards human samples, making it ideal for use in Western blotting and immunohistochemistry applications.CLDN4 is known to be involved in the regulation of epithelial barrier function and the maintenance of tissue integrity, making it a target of interest in various research fields, including cancer biology and gastrointestinal diseases.
This antibody is validated for use in WB, IHC-P, ELISA applications and has demonstrated reactivity against Human samples.
Product Name:
CLDN4 Antibody
SKU:
CAB12912
Size:
20μL, 100μL
Reactivity:
Human
Conjugate:
Unconjugated
Immunogen:
Synthetic peptide. This information is considered to be commercially sensitive.
The protein encoded by this intronless gene belongs to the claudin family. Claudins are integral membrane proteins that are components of the epithelial cell tight junctions, which regulate movement of solutes and ions through the paracellular space. This protein is a high-affinity receptor for Clostridium perfringens enterotoxin (CPE) and may play a role in internal organ development and function during pre- and postnatal life. This gene is deleted in Williams-Beuren syndrome, a neurodevelopmental disorder affecting multiple systems.
Purification Method
Affinity purification
Gene ID
1364
RRID
AB_2759757
Buffer Information
Store at -20℃. Avoid freeze / thaw cycles. Buffer: PBS containing 50% glycerol, preserved with proclin300 or sodium azide, pH 7.3.
Western blot analysis of various lysates, using CLDN4 Rabbit pAb (CAB12912) at 1:4000 dilution. Secondary antibody: HRP-conjugated Goat anti-Rabbit IgG (H+L) (CABS014) at 1:10000 dilution. Lysates/proteins: 25μg per lane. Blocking buffer: 3% nonfat dry milk in TBST. Detection: ECL Basic Kit (AbGn00020). Negative control (NC): HL-60 Exposure time: 30s.
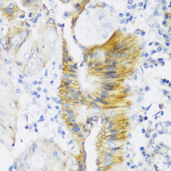
Immunohistochemistry analysis of paraffin-embedded Human colon carcinoma using CLDN4 Rabbit pAb (CAB12912) at dilution of 1:150 (40x lens). Microwave antigen retrieval performed with 0.01M PBS Buffer (pH 7.2) prior to IHC staining.