The SLC5A7 Antibody (CAB8247) is a high-quality antibody developed for reliable detection and analysis of target proteins. This antibody, produced in rabbits, is highly specific to human samples and is suitable for use in various experimental applications, including Western blotting.SLC5A7, also known as choline transporter-like protein 1 (CTL1), plays a crucial role in the transport of choline, a necessary nutrient for neurotransmitter synthesis, across cell membranes. Dysfunction of SLC5A7 has been implicated in neurological disorders and cognitive decline, highlighting the importance of studying this protein in research settings.
This antibody is validated for use in WB, ELISA, IF-P applications and has demonstrated reactivity against Human, Mouse, Rat samples.
Product Name:
SLC5A7 Antibody
SKU:
CAB8247
Size:
20μL, 100μL
Reactivity:
Human, Mouse, Rat
Conjugate:
Unconjugated
Immunogen:
Recombinant protein (or fragment).This information is considered to be commercially sensitive.
Recommended starting concentration is 1 μg/mL. Please optimize the concentration based on your specific assay requirements.
Synonyms:
CHT, CHT1, CMS20, HMN7A, DHMNVP, SLC5A7
Positive Sample:
C6, SH-SY5Y, U-251MG, SGC-7901, Mouse brain, Rat brain
Cellular Localization:
Membrane, Multi-Pass Membrane Protein.
Calculated MW:
63kDa
Observed MW:
66-75kDa
This gene encodes a sodium ion- and chloride ion-dependent high-affinity transporter that mediates choline uptake for acetylcholine synthesis in cholinergic neurons. The protein transports choline from the extracellular space into presynaptic terminals for synthesis into acetylcholine. Increased choline uptake results from increased density of this protein in synaptosomal plasma membranes in response to depolarization of cholinergic terminals. Dysfunction of cholinergic signaling has been implicated in various disorders including depression, attention-deficit disorder, and schizophrenia. An allelic variant of this gene is associated with autosomal dominant distal hereditary motor neuronopathy type VIIA. Alternative splicing results in multiple transcript variants.
Purification Method
Affinity purification
Gene ID
60482
RRID
AB_2772283
Buffer Information
Store at -20℃. Avoid freeze / thaw cycles. Buffer: PBS containing 50% glycerol, preserved with proclin300 or sodium azide, pH 7.3.
Western blot analysis of various lysates using SLC5A7 Rabbit pAb (CAB8247) at 1:1000 dilution. Secondary antibody: HRP-conjugated Goat anti-Rabbit IgG (H+L) (CABS014) at 1:10000 dilution. Lysates/proteins: 25μg per lane. Blocking buffer: 3% nonfat dry milk in TBST. Detection: ECL Basic Kit (AbGn00020). Exposure time: 90s.
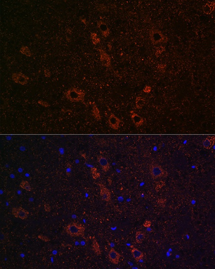
Immunofluorescence analysis of paraffin-embedded rat brain using SLC5A7 Rabbit pAb (CAB8247) at dilution of 1:100 (40x lens). Secondary antibody: Cy3-conjugated Goat anti-Rabbit IgG (H+L) (CABS007) at 1:500 dilution. Blue: DAPI for nuclear staining.