The CNPY3 Antibody (CAB7176) is a high-quality antibody developed for reliable detection and analysis of target proteins. This antibody, produced in rabbits, exhibits high specificity for CNPY3 in human samples and is ideal for use in Western blot experiments.CNPY3, also known as canopy FGF signaling regulator 3, plays a crucial role in the regulation of fibroblast growth factor (FGF) signaling and is implicated in various physiological and pathological conditions. By targeting CNPY3 with this antibody, researchers can effectively analyze and study its function in different cell types, providing insights into its involvement in processes such as cell proliferation, differentiation, and survival.
This antibody is validated for use in WB, IHC-P, IP, ELISA applications and has demonstrated reactivity against Human, Mouse samples.
Product Name:
CNPY3 Antibody
SKU:
CAB7176
Size:
20μL, 100μL
Reactivity:
Human, Mouse
Conjugate:
Unconjugated
Immunogen:
Recombinant protein (or fragment).This information is considered to be commercially sensitive.
0.5μg-4μg antibody for 200μg-400μg extracts of whole cells
ELISA
Recommended starting concentration is 1 μg/mL. Please optimize the concentration based on your specific assay requirements.
Synonyms:
CAG4A, DEE60, ERDA5, TNRC5, EIEE60, PRAT4A, CNPY3
Positive Sample:
HepG2, MCF7, THP-1, HL-60, U-937
Cellular Localization:
Endoplasmic Reticulum.
Calculated MW:
31kDa
Observed MW:
38kDa
This gene encodes a protein that binds members of the toll-like receptor protein family and functions as a chaperone to aid in folding and export of these proteins. Alternative splicing results in multiple transcript variants. Naturally occuring readthrough transcription occurs between this locus and the downstream GNMT (glycine N-methyltransferase) gene and is represented with GeneID:107080644.
Purification Method
Affinity purification
Gene ID
10695
RRID
AB_2767726
Buffer Information
Store at -20℃. Avoid freeze / thaw cycles. Buffer: PBS containing 50% glycerol, preserved with proclin300 or sodium azide, pH 7.3.
Western blot analysis of various lysates using CNPY3 Rabbit pAb (CAB7176) at 1:1000 dilution._Secondary antibody: HRP-conjugated Goat anti-Rabbit IgG (H+L) (CABS014) at 1:10000 dilution._Lysates/proteins: 25μg per lane._Blocking buffer: 3% nonfat dry milk in TBST._Detection: ECL Enhanced Kit (AbGn00021)._Exposure time: 15s.
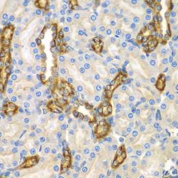
Immunohistochemistry analysis of paraffin-embedded Mouse kidney using CNPY3 Rabbit pAb (CAB7176) at dilution of 1:100 (40x lens). Microwave antigen retrieval performed with 0.01M PBS Buffer (pH 7.2) prior to IHC staining.