The COA1 Antibody (PACO25404) is a highly specific polyclonal antibody designed for research involving the COA1 protein. COA1 is a key player in mitochondrial respiratory chain assembly and function, making it essential for cellular energy production. This antibody, produced in rabbits, exhibits high reactivity with human samples and has been validated for use in various applications, including Western blotting, immunofluorescence, and immunoprecipitation. Its ability to bind to the COA1 protein enables precise detection and analysis in a variety of cell types, making it an invaluable tool for researchers in the fields of cell biology, biochemistry, and mitochondrial research.
Given the critical role of COA1 in mitochondrial function, this antibody is particularly valuable for studies related to metabolic disorders, neurodegenerative diseases, and aging-related conditions. Understanding the function and regulation of COA1 is essential for developing targeted therapies and interventions to treat mitochondrial dysfunction and associated pathologies. Overall, the COA1 Antibody (PACO25404) provides a reliable and effective tool for investigating the role of COA1 in cellular metabolism and disease, offering valuable insights into the mechanisms underlying mitochondrial dysfunction and potential therapeutic targets.
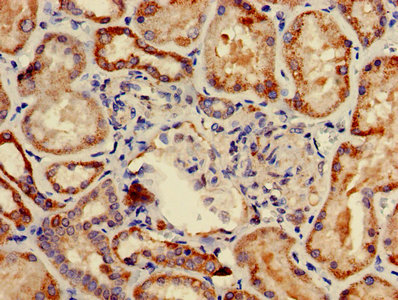
Immunohistochemistry of paraffin-embedded human kidney tissue using PACO25404 at dilution of 1:100.
Immunofluorescent analysis of U251 cells using PACO25404 at dilution of 1:100 and Alexa Fluor 488-congugated AffiniPure Goat Anti-Rabbit IgG(H+L).
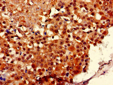
Immunohistochemistry of paraffin-embedded human breast cancer using PACO25404 at dilution of 1:100.
Background:
Component of some MITRAC complex, a cytochrome c oxidase (COX) assembly intermediate complex that regulates COX assembly. MITRAC complexes regulate both translation of mitochondrial encoded components and assembly of nuclear-encoded components imported in mitochondrion. Required for assembly of mitochondrial respiratory chain complex I and complex IV.
Synonyms:
Cytochrome c oxidase assembly factor 1 homolog (Mitochondrial translation regulation assembly intermediate of cytochrome c oxidase protein of 15 kDa), COA1, C7orf44 MITRAC15
UniProt Protein Function:
COA1: Belongs to the COA1 family.Protein type: Membrane protein, integralChromosomal Location of Human Ortholog: 7p13Cellular Component: cytoplasm; integral to mitochondrial inner membrane; mitochondrionMolecular Function: RNA binding; structural constituent of ribosomeBiological Process: mitochondrial respiratory chain complex I assembly; mitochondrial respiratory chain complex IV assembly; translation