The COPS2 Antibody (CAB7037) is a high-quality antibody developed for reliable detection and analysis of target proteins. This antibody, produced in rabbits, exhibits high reactivity with human samples and has been validated for use in Western blot applications. By binding to the COPS2 protein, this antibody enables accurate detection and analysis in a variety of cell types, making it an essential tool for studying cellular processes related to protein degradation and cell cycle control.COPS2, also known as the COP9 signalosome subunit 2, plays a crucial role in the ubiquitin-proteasome system, where it facilitates the degradation of proteins involved in critical cellular functions.
This antibody is validated for use in WB, IHC-P, IF/ICC, ELISA applications and has demonstrated reactivity against Human, Mouse, Rat samples.
Product Name:
COPS2 Antibody
SKU:
CAB7037
Size:
20μL, 100μL
Reactivity:
Human, Mouse, Rat
Conjugate:
Unconjugated
Immunogen:
Recombinant protein (or fragment).This information is considered to be commercially sensitive.
Predicted to enable transcription corepressor activity. Involved in protein deneddylation and protein phosphorylation. Located in cytoplasm. Part of COP9 signalosome.
Purification Method
Affinity purification
Gene ID
9318
RRID
AB_2767592
Buffer Information
Store at -20℃. Avoid freeze / thaw cycles. Buffer: PBS containing 50% glycerol, preserved with proclin300 or sodium azide, pH 7.3.
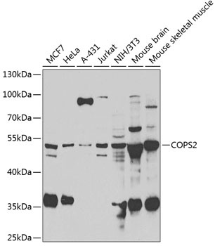
Western blot analysis of various lysates using COPS2 Rabbit pAb (CAB7037) at 1:1000 dilution. Secondary antibody: HRP-conjugated Goat anti-Rabbit IgG (H+L) (CABS014) at 1:10000 dilution. Lysates/proteins: 25μg per lane. Blocking buffer: 3% nonfat dry milk in TBST. Detection: ECL Basic Kit (AbGn00020). Exposure time: 90s.
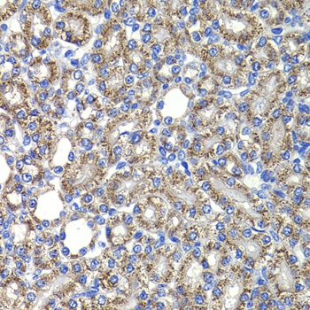
Immunohistochemistry analysis of paraffin-embedded Rat kidney using COPS2 Rabbit pAb (CAB7037) at dilution of 1:100 (40x lens). Microwave antigen retrieval performed with 0.01M PBS Buffer (pH 7.2) prior to IHC staining.