The COX6B1 Polyclonal Antibody (CAB2641) is a valuable tool for researchers studying the cytochrome c oxidase subunit 6B1 (COX6B1) protein, which plays a vital role in the electron transport chain and cellular respiration. This antibody, generated in rabbits, exhibits high reactivity towards human samples and has been validated for use in Western blot applications.COX6B1 is a critical component of the mitochondrial respiratory chain, functioning to transfer electrons and generate ATP for cellular energy production. Dysregulation of COX6B1 has been linked to various diseases, including metabolic disorders and neurodegenerative conditions.
By targeting and detecting the COX6B1 protein, researchers can gain insights into mitochondrial function and explore its implications in health and disease.With its specificity and reliability in detecting COX6B1, the CAB2641 antibody is an essential tool for investigations in mitochondrial biology, bioenergetics, and related fields. Its application in research may lead to a deeper understanding of cellular metabolism and the development of potential therapeutic strategies targeting mitochondrial dysfunction.
Product Name:
COX6B1 Rabbit Polyclonal Antibody
SKU:
CAB2641
Size:
20uL, 100uL
Isotype:
IgG
Host Species:
Rabbit
Reactivity:
Human,Mouse
Immunogen:
Recombinant fusion protein containing a sequence corresponding to amino acids 1-86 of human COX6B1 (NP_001854.1).
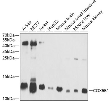
A-549,MCF7,Jurkat,HepG2,Mouse brain,Mouse small intestine,Mouse liver,Mouse kidney
Conjugate:
Unconjugated
Cellular Localization:
Mitochondrion intermembrane space.
Calculated MW:
10kDa
Observed MW:
13kDa
Cytochrome c oxidase (COX), the terminal enzyme of the mitochondrial respiratory chain, catalyzes the electron transfer from reduced cytochrome c to oxygen. It is a heteromeric complex consisting of 3 catalytic subunits encoded by mitochondrial genes and multiple structural subunits encoded by nuclear genes. The mitochondrially-encoded subunits function in electron transfer, and the nuclear-encoded subunits may be involved in the regulation and assembly of the complex. This nuclear gene encodes subunit VIb. Mutations in this gene are associated with severe infantile encephalomyopathy. Three pseudogenes COX6BP-1, COX6BP-2 and COX6BP-3 have been found on chromosomes 7, 17 and 22q13.1-13.2, respectively.
Purification Method:
Affinity purification
Gene ID:
1340
Storage Buffer:
Store at -20℃. Avoid freeze / thaw cycles.Buffer: PBS with 0.02% sodium azide,50% glycerol,pH7.3.
Western blot analysis of extracts of various cell lines, using COX6B1 antibody (CAB2641) at 1:1000 dilution.Secondary antibody: HRP Goat Anti-Rabbit IgG (H+L) (CABS014) at 1:10000 dilution.Lysates/proteins: 25μg per lane.Blocking buffer: 3% nonfat dry milk in TBST.Detection: ECL Basic Kit (AbGn00020).Exposure time: 1s.