The CTAG1B Antibody (CAB9810) is a high-quality antibody developed for reliable detection and analysis of target proteins. This antibody is generated in rabbits and exhibits high specificity for human samples, making it suitable for Western blot applications. By binding to CTAG1B, this antibody facilitates the detection and analysis of this antigen in a variety of cell types, particularly in the context of immunology and cancer research.CTAG1B is known to be overexpressed in a variety of cancer types, including melanoma, lung cancer, and breast cancer, making it a promising target for cancer immunotherapy.
This antibody is validated for use in WB, IHC-P, ELISA applications and has demonstrated reactivity against Human samples.
Product Name:
CTAG1B Antibody
SKU:
CAB9810
Size:
20μL, 100μL
Reactivity:
Human
Conjugate:
Unconjugated
Immunogen:
Synthetic peptide. This information is considered to be commercially sensitive.
The protein encoded by this gene is an antigen that is overexpressed in many cancers but that is also expressed in normal testis. This gene is found in a duplicated region of the X-chromosome and therefore has a neighboring gene of identical sequence.
Purification Method
Affinity purification
Gene ID
1485
RRID
AB_2769070
Buffer Information
Store at -20℃. Avoid freeze / thaw cycles. Buffer: PBS containing 50% glycerol, preserved with proclin300 or sodium azide, pH 7.3.
Western blot analysis of various lysates using NY-ESO-1 Rabbit pAb (CAB9810) at 1:1000 dilution. Secondary antibody: HRP-conjugated Goat anti-Rabbit IgG (H+L) (CABS014) at 1:10000 dilution. Lysates/proteins: 25μg per lane. Blocking buffer: 3% nonfat dry milk in TBST. Detection: ECL Basic Kit (AbGn00020). Exposure time: 180s.
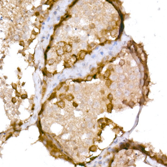
Immunohistochemistry analysis of paraffin-embedded Human testis using NY-ESO-1 Rabbit pAb (CAB9810) at dilution of 1:100 (40x lens). High pressure antigen retrieval performed with 0.01M Tris/EDTA Buffer (pH 8.0) prior to IHC staining.