The CTRB1 Antibody (CAB15043) is a high-quality antibody developed for reliable detection and analysis of target proteins. This antibody, produced using rabbits, exhibits high reactivity with human samples and is validated for use in Western blot applications. By targeting the CTRB1 protein, this antibody allows for the detection and analysis of CTRB1 expression in different cell types, making it a versatile option for studies in molecular biology and disease mechanisms.CTRB1, also known as chymotrypsin-like elastase family member 2A, plays a crucial role in protein digestion and has been implicated in the pathogenesis of pancreatic diseases, such as pancreatitis and pancreatic cancer.
This antibody is validated for use in WB, IHC-P, ELISA, IF-P applications and has demonstrated reactivity against Human, Mouse, Rat samples.
Product Name:
CTRB1 Antibody
SKU:
CAB15043
Size:
20μL, 100μL
Reactivity:
Human, Mouse, Rat
Conjugate:
Unconjugated
Immunogen:
Recombinant protein (or fragment).This information is considered to be commercially sensitive.
Recommended starting concentration is 1 μg/mL. Please optimize the concentration based on your specific assay requirements.
Synonyms:
CTRB, CTRB1
Positive Sample:
Mouse spleen, Mouse stomach
Cellular Localization:
Secreted, Extracellular Space.
Calculated MW:
28kDa
Observed MW:
28kDa
This gene encodes a member of the serine protease family of enzymes and forms a principal precursor of the pancreatic proteolytic enzymes. The encoded preproprotein is synthesized in the acinar cells of the pancreas and secreted into the small intestine where it undergoes proteolytic activation to generate a functional enzyme. This CTRB1 gene is located head-to-head with the related CTRB2 gene. Some human populations have an alternate haplotype which inverts a 16.6 Kb region containing portions of intron 1, exon 1, and the upstream sequence of the CTRB1 and CTRB2 genes. In this inversion haplotype exon 1 and flanking sequence is swapped in CTRB1 and CTRB2. This inversion is associated with differential gene expression and increased risk for chronic pancreatitis. The GRCh38 assembly represents the minor allele for SNP rs8048956 of the CTRB1 gene. SNP rs8048956 in intron 1 of the CTRB2 gene is diagnostic for this inversion. This CTRB1 gene encodes distinct isoforms, some or all of which may undergo similar processing to generate the mature protein.
Purification Method
Affinity purification
Gene ID
1504
RRID
AB_2761924
Buffer Information
Store at -20℃. Avoid freeze / thaw cycles. Buffer: PBS with 0.01% thimerosal,50% glycerol,pH7.3.
Western blot analysis of various lysates using CTRB1 Rabbit pAb (CAB15043) at 1:1000 dilution. Secondary antibody: HRP-conjugated Goat anti-Rabbit IgG (H+L) (CABS014) at 1:10000 dilution. Lysates/proteins: 25μg per lane. Blocking buffer: 3% nonfat dry milk in TBST. Detection: ECL Basic Kit (AbGn00020). Exposure time: 5s.
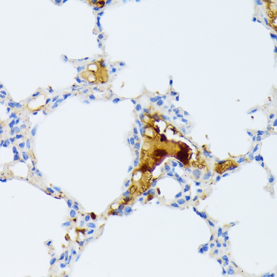
Immunohistochemistry analysis of paraffin-embedded Mouse lung using CTRB1 Rabbit pAb (CAB15043) at dilution of 1:100 (40x lens). Microwave antigen retrieval performed with 0.01M PBS Buffer (pH 7.2) prior to IHC staining.
Immunofluorescence analysis of paraffin-embedded rat pancreas using CTRB1 Rabbit pAb (CAB15043) at dilution of 1:100 (40x lens). Secondary antibody: Cy3-conjugated Goat anti-Rabbit IgG (H+L) (CABS007) at 1:500 dilution. Blue: DAPI for nuclear staining.
Immunofluorescence analysis of paraffin-embedded mouse pancreas using CTRB1 Rabbit pAb (CAB15043) at dilution of 1:100 (40x lens). Secondary antibody: Cy3-conjugated Goat anti-Rabbit IgG (H+L) (CABS007) at 1:500 dilution. Blue: DAPI for nuclear staining.