The Cullin 1 Polyclonal Antibody (CAB21687) is a high-quality antibody developed for reliable detection and analysis of target proteins. This antibody, produced in rabbits, is highly specific for detecting Cullin-1 in human samples and has been validated for use in Western blot and immunohistochemistry applications. By binding to the Cullin-1 protein, this antibody allows for the precise detection and analysis of Cullin-1 expression in various cell types.Cullin-1 plays a critical role in regulating the degradation of target proteins, thereby controlling important cellular processes such as cell cycle progression, signaling pathways, and DNA replication.
This antibody is validated for use in WB, IHC-P, ELISA applications and has demonstrated reactivity against Human, Mouse, Rat samples.
Product Name:
Cullin 1 Polyclonal Antibody
SKU:
CAB21687
Size:
20μL, 100μL
Reactivity:
Human, Mouse, Rat
Conjugate:
Unconjugated
Immunogen:
Recombinant protein (or fragment).This information is considered to be commercially sensitive.
Recommended starting concentration is 1 μg/mL. Please optimize the concentration based on your specific assay requirements.
Synonyms:
CUL1, MGC149834, MGC149835, cullin-1, Cullin 1
Positive Sample:
Mouse brain, Rat brain
Cellular Localization:
Cytosol, Nucleoplasm, Plasma Membrane.
Calculated MW:
90kDa
Observed MW:
90kDa
Predicted to enable ubiquitin protein ligase binding activity and ubiquitin-protein transferase activity. Involved in SCF-dependent proteasomal ubiquitin-dependent protein catabolic process and protein ubiquitination. Located in plasma membrane. Part of Parkin-FBXW7-Cul1 ubiquitin ligase complex and SCF ubiquitin ligase complex.
Purification Method
Affinity purification
Gene ID
8454
Buffer Information
Store at -20℃. Avoid freeze / thaw cycles. Buffer: PBS containing 50% glycerol, preserved with proclin300 or sodium azide, pH 7.3.
Western blot analysis of various lysates, using Cullin 1 Rabbit pAb (CAB21687) at 1:500 dilution. Secondary antibody: HRP-conjugated Goat anti-Rabbit IgG (H+L) (CABS014) at 1:10000 dilution. Lysates/proteins: 25μg per lane. Blocking buffer: 3% nonfat dry milk in TBST. Detection: ECL Basic Kit (AbGn00020). Exposure time: 30s.
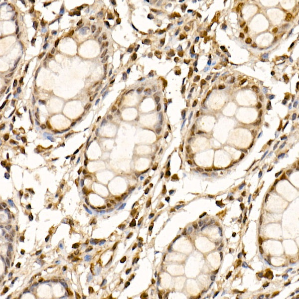
Immunohistochemistry analysis of paraffin-embedded Human colon using Cullin 1 Rabbit pAb (CAB21687) at dilution of 1:50 (40x lens). High pressure antigen retrieval performed with 0.01M Citrate buffer (pH 6.0) prior to IHC staining.
Immunohistochemistry analysis of paraffin-embedded Rat lung using Cullin 1 Rabbit pAb (CAB21687) at dilution of 1:50 (40x lens). High pressure antigen retrieval performed with 0.01M Citrate buffer (pH 6.0) prior to IHC staining.