The Cyclin K Antibody (CAB10261) is a high-quality antibody developed for reliable detection and analysis of target proteins. This antibody, produced in rabbits, exhibits high reactivity with human samples and has been validated for use in Western blot applications.Cyclin K is a critical component of the P-TEFb complex, which is involved in the regulation of RNA polymerase II elongation and transcriptional activation. Dysregulation of cyclin K has been implicated in various diseases, including cancer, making it a promising target for therapeutic intervention.
This antibody is validated for use in WB, IHC-P, ELISA applications and has demonstrated reactivity against Human, Mouse, Rat samples.
Product Name:
Cyclin K Antibody
SKU:
CAB10261
Size:
20μL, 100μL
Reactivity:
Human, Mouse, Rat
Conjugate:
Unconjugated
Immunogen:
Recombinant protein (or fragment).This information is considered to be commercially sensitive.
Recommended starting concentration is 1 μg/mL. Please optimize the concentration based on your specific assay requirements.
Synonyms:
CPR4, IDDHDF, Cyclin K
Positive Sample:
HeLa, Mouse brain
Cellular Localization:
Nucleus.
Calculated MW:
64kDa
Observed MW:
90kDa
The protein encoded by this gene is a member of the transcription cyclin family. These cyclins may regulate transcription through their association with and activation of cyclin-dependent kinases (CDK) that phosphorylate the C-terminal domain (CTD) of the large subunit of RNA polymerase II. This gene product may play a dual role in regulating CDK and RNA polymerase II activities.
Purification Method
Affinity purification
Gene ID
8812
RRID
AB_2757789
Buffer Information
Store at -20℃. Avoid freeze / thaw cycles. Buffer: PBS containing 50% glycerol, preserved with proclin300 or sodium azide, pH 7.3.
Western blot analysis of various lysates using Cyclin K Rabbit pAb (CAB10261) at 1:1000 dilution. Secondary antibody: HRP-conjugated Goat anti-Rabbit IgG (H+L) (CABS014) at 1:10000 dilution. Lysates/proteins: 25μg per lane. Blocking buffer: 3% nonfat dry milk in TBST. Detection: ECL Enhanced Kit (AbGn00021). Exposure time: 90s.
Immunohistochemistry analysis of paraffin-embedded Human breast cancer using Cyclin K Rabbit pAb (CAB10261) at dilution of 1:100 (40x lens). High pressure antigen retrieval performed with 0.01M Citrate buffer (pH 6.0) prior to IHC staining.
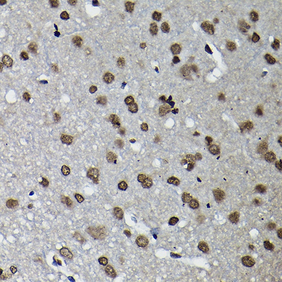
Immunohistochemistry analysis of paraffin-embedded Rat brain using Cyclin K Rabbit pAb (CAB10261) at dilution of 1:100 (40x lens). High pressure antigen retrieval performed with 0.01M Citrate buffer (pH 6.0) prior to IHC staining.