The DBNL Antibody (CAB13751) is a high-quality antibody developed for reliable detection and analysis of target proteins. This antibody, produced in rabbits, shows high reactivity with human samples and has been validated for use in Western blot applications.The DBNL Polyclonal Antibody binds specifically to the DBNL protein, enabling researchers to detect and analyze its expression in various cell types. This makes it an ideal tool for studies in cell biology, cancer research, and drug development.The DBNL protein is involved in regulating the actin cytoskeleton, which is crucial for cell movement, shape, and division.
This antibody is validated for use in WB, ELISA applications and has demonstrated reactivity against Human, Mouse, Rat samples.
Product Name:
DBNL Antibody
SKU:
CAB13751
Size:
20μL, 100μL
Reactivity:
Human, Mouse, Rat
Conjugate:
Unconjugated
Immunogen:
Recombinant protein (or fragment).This information is considered to be commercially sensitive.
Enables cadherin binding activity. Predicted to be involved in several processes, including Rac protein signal transduction; nervous system development; and podosome assembly. Located in cytoplasm.
Purification Method
Affinity purification
Gene ID
28988
RRID
AB_2760608
Buffer Information
Store at -20℃. Avoid freeze / thaw cycles. Buffer: PBS containing 50% glycerol, preserved with proclin300 or sodium azide, pH 7.3.
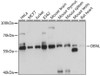
Western blot analysis of various lysates using DBNL Rabbit pAb (CAB13751) at 1:3000 dilution. Secondary antibody: HRP-conjugated Goat anti-Rabbit IgG (H+L) (CABS014) at 1:10000 dilution. Lysates/proteins: 25μg per lane. Blocking buffer: 3% nonfat dry milk in TBST. Detection: ECL Basic Kit (AbGn00020). Exposure time: 1s.