The GCN2 Antibody (CAB12618) is a high-quality antibody developed for reliable detection and analysis of target proteins. This gene encodes a member of a family of kinases that phosphorylate the alpha subunit of eukaryotic translation initiation factor-2 (EIF2), resulting in the downregulaton of protein synthesis. The encoded protein responds to amino acid deprivation by binding uncharged transfer RNAs. It may also be activated by glucose deprivation and viral infection. Mutations in this gene have been found in individuals suffering from autosomal recessive pulmonary venoocclusive-disease-2.
This antibody is validated for use in WB, IHC-P, IF/ICC, ELISA applications and has demonstrated reactivity against Human, Mouse, Rat samples.
Product Name:
GCN2 Antibody
SKU:
CAB12618
Size:
100μL, 20μL
Reactivity:
Human, Mouse, Rat
Conjugate:
Unconjugated
Immunogen:
Recombinant protein (or fragment).This information is considered to be commercially sensitive.
Tested Applications:
WBIHC-PIF/ICCELISA
Recommended Dilution:
WB
1:500 - 1:2000
IHC-P
1:50 - 1:200
IF/ICC
1:50 - 1:200
ELISA
Recommended starting concentration is 1 μg/mL. Please optimize the concentration based on your specific assay requirements.
Synonyms:
GCN2, PVOD2
Positive Sample:
HepG2
Cellular Localization:
Cytosol, Cytosolic Ribosome.
Calculated MW:
187kDa
Observed MW:
187kDa
This gene encodes a member of a family of kinases that phosphorylate the alpha subunit of eukaryotic translation initiation factor-2 (EIF2), resulting in the downregulaton of protein synthesis. The encoded protein responds to amino acid deprivation by binding uncharged transfer RNAs. It may also be activated by glucose deprivation and viral infection. Mutations in this gene have been found in individuals suffering from autosomal recessive pulmonary venoocclusive-disease-2.
Purification Method
Affinity purification
Gene ID
440275
RRID
AB_2759462
Buffer Information
Store at -20℃. Avoid freeze / thaw cycles. Buffer: PBS containing 50% glycerol, preserved with proclin300 or sodium azide, pH 7.3.
Western blot analysis of lysates from HepG2 cells, using GCN2 Rabbit pAb (CAB12618) at 1:1000 dilution. Secondary antibody: HRP-conjugated Goat anti-Rabbit IgG (H+L) (AS014) at 1:10000 dilution. Lysates/proteins: 25μg per lane. Blocking buffer: 3% nonfat dry milk in TBST. Detection: ECL Basic Kit (AbGn00020). Exposure time: 30s.
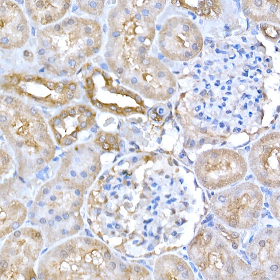
Immunohistochemistry analysis of paraffin-embedded Rat kidney using GCN2 Rabbit pAb (CAB12618) at dilution of 1:200 (40x lens). High pressure antigen retrieval performed with 0.01M Citrate buffer (pH 6.0) prior to IHC staining.
Immunofluorescence analysis of NIH/3T3 cells using GCN2 Rabbit pAb (CAB12618) at dilution of 1:200 (40x lens). Secondary antibody: Cy3-conjugated Goat anti-Rabbit IgG (H+L) (AS007) at 1:500 dilution. Blue: DAPI for nuclear staining.
Immunofluorescence analysis of PC-12 cells using GCN2 Rabbit pAb (CAB12618) at dilution of 1:200 (40x lens). Secondary antibody: Cy3-conjugated Goat anti-Rabbit IgG (H+L) (AS007) at 1:500 dilution. Blue: DAPI for nuclear staining.