The ENTPD1/CD39 Antibody (CAB3778) is a high-quality antibody developed for reliable detection and analysis of target proteins. This antibody, raised in rabbits, is highly specific and reactive with human samples, making it an ideal choice for studies in immunology and cancer research.ENTPD1, also known as CD39, is a key player in the regulation of purinergic signaling, which impacts immune cell function and inflammatory responses. By binding to the ENTPD1 protein, this antibody enables researchers to detect and analyze ENTPD1 expression in various cell types, providing valuable insights into its function in the immune system.
This antibody is validated for use in WB, IHC-P, IF/ICC, ELISA, IF-P applications and has demonstrated reactivity against Human, Mouse, Rat samples.
Product Name:
ENTPD1/CD39 Antibody
SKU:
CAB3778
Size:
20μL, 100μL
Reactivity:
Human, Mouse, Rat
Conjugate:
Unconjugated
Immunogen:
Recombinant protein (or fragment).This information is considered to be commercially sensitive.
Recommended starting concentration is 1 μg/mL. Please optimize the concentration based on your specific assay requirements.
Synonyms:
CD39, SPG64, ATPDase, NTPDase-1, ENTPD1/CD39
Positive Sample:
Mouse spleen, Rat lung
Cellular Localization:
Membrane, Multi-Pass Membrane Protein.
Calculated MW:
58kDa
Observed MW:
80kDa
The protein encoded by this gene is a plasma membrane protein that hydrolyzes extracellular ATP and ADP to AMP. Inhibition of this protein's activity may confer anticancer benefits. Several transcript variants encoding different isoforms have been found for this gene.
Purification Method
Affinity purification
Gene ID
953
RRID
AB_2765267
Buffer Information
Store at -20℃. Avoid freeze / thaw cycles. Buffer: PBS containing 50% glycerol, preserved with proclin300 or sodium azide, pH 7.3.
Western blot analysis of various lysates using ENTPD1/CD39 Rabbit pAb (CAB3778) at 1:1000 dilution. Secondary antibody: HRP-conjugated Goat anti-Rabbit IgG (H+L) (CABS014) at 1:10000 dilution. Lysates/proteins: 25μg per lane. Blocking buffer: 3% nonfat dry milk in TBST. Detection: ECL Basic Kit (AbGn00020). Exposure time: 180s.
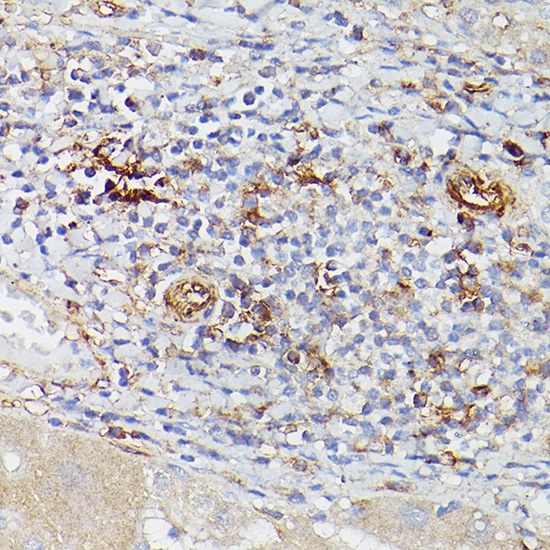
Immunohistochemistry analysis of paraffin-embedded Human liver using ENTPD1/CD39 Rabbit pAb (CAB3778) at dilution of 1:20 (40x lens). High pressure antigen retrieval performed with 0.01M Citrate buffer (pH 6.0) prior to IHC staining.
Immunofluorescence analysis of Raw264.7 cells using ENTPD1/CD39 Rabbit pAb (CAB3778) at dilution of 1:100 (40x lens). Secondary antibody: Cy3-conjugated Goat anti-Rabbit IgG (H+L) (CABS007) at 1:500 dilution. Blue: DAPI for nuclear staining.
Immunofluorescence analysis of THP-1 cells using ENTPD1/CD39 Rabbit pAb (CAB3778) at dilution of 1:100 (40x lens). Secondary antibody: Cy3-conjugated Goat anti-Rabbit IgG (H+L) (CABS007) at 1:500 dilution. Blue: DAPI for nuclear staining.