The ERGIC2 Antibody (CAB7369) is a high-quality antibody developed for reliable detection and analysis of target proteins. This antibody, generated in rabbits, exhibits high specificity and sensitivity towards human samples, making it an excellent choice for Western blot applications. By binding to the ERGIC2 protein, this antibody enables the detection and analysis of ERGIC2 in various cell types, facilitating investigations in cell biology and molecular biology.ERGIC2 plays a crucial role in the early secretory pathway, specifically in the transport of newly synthesized proteins from the endoplasmic reticulum to the Golgi apparatus. Dysregulation of ERGIC2 function has been linked to various human diseases, highlighting its importance in cellular homeostasis.
This antibody is validated for use in WB, ELISA applications and has demonstrated reactivity against Human, Mouse samples.
Product Name:
ERGIC2 Antibody
SKU:
CAB7369
Size:
20μL, 100μL
Reactivity:
Human, Mouse
Conjugate:
Unconjugated
Immunogen:
Recombinant protein (or fragment).This information is considered to be commercially sensitive.
ERGIC2, or PTX1, is a ubiquitously expressed nuclear protein that is downregulated in prostate carcinoma (Kwok et al., 2001 [PubMed 11445006]).
Purification Method
Affinity purification
Gene ID
51290
RRID
AB_2767903
Buffer Information
Store at -20℃. Avoid freeze / thaw cycles. Buffer: PBS containing 50% glycerol, preserved with proclin300 or sodium azide, pH 7.3.
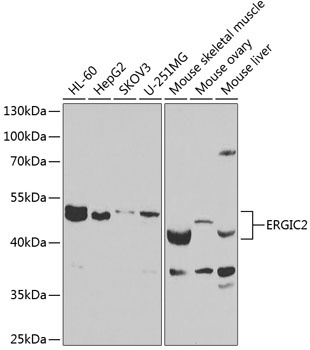
Western blot analysis of various lysates using ERGIC2 Rabbit pAb (CAB7369) at 1:1000 dilution. Secondary antibody: HRP-conjugated Goat anti-Rabbit IgG (H+L) (CABS014) at 1:10000 dilution. Lysates/proteins: 25μg per lane. Blocking buffer: 3% nonfat dry milk in TBST. Detection: ECL Basic Kit (AbGn00020). Exposure time: 90s.