The FAM3D Antibody (CAB17824) is a high-quality antibody developed for reliable detection and analysis of target proteins. This antibody, produced in rabbits, is highly specific to human samples and has been validated for use in Western blot applications. It binds specifically to the FAM3D protein, allowing for accurate detection and analysis in a variety of cell types. This makes it an ideal choice for studies in immunology and cancer research.FAM3D is known to play a role in various cellular processes, including cell proliferation and differentiation, making it a promising target for investigation in the field of cancer biology.
This antibody is validated for use in WB, IHC-P, IF/ICC, ELISA applications and has demonstrated reactivity against Human, Mouse, Rat samples.
Product Name:
FAM3D Antibody
SKU:
CAB17824
Size:
20μL, 100μL
Reactivity:
Human, Mouse, Rat
Conjugate:
Unconjugated
Immunogen:
Recombinant protein (or fragment).This information is considered to be commercially sensitive.
Recommended starting concentration is 1 μg/mL. Please optimize the concentration based on your specific assay requirements.
Synonyms:
EF7, OIT1, FAM3D
Positive Sample:
HT-29, Mouse large intestine
Cellular Localization:
Extracellular Region, Extracellular Space.
Calculated MW:
25kDa
Observed MW:
33kDa
Involved in negative regulation of insulin secretion. Predicted to be located in extracellular region. Predicted to be integral component of membrane. Predicted to be active in extracellular space.
Purification Method
Affinity purification
Gene ID
131177
RRID
AB_2769410
Buffer Information
Store at -20℃. Avoid freeze / thaw cycles. Buffer: PBS with 0.01% thimerosal,50% glycerol,pH7.3.
Western blot analysis of various lysates using FAM3D Rabbit pAb (CAB17824) at 1:1000 dilution. Secondary antibody: HRP-conjugated Goat anti-Rabbit IgG (H+L) (CABS014) at 1:10000 dilution. Lysates/proteins: 25μg per lane. Blocking buffer: 3% nonfat dry milk in TBST. Detection: ECL Basic Kit (AbGn00020). Exposure time: 10s.
Immunohistochemistry analysis of paraffin-embedded Mouse testis using FAM3D Rabbit pAb (CAB17824) at dilution of 1:50 (20x lens). Microwave antigen retrieval performed with 0.01M PBS Buffer (pH 7.2) prior to IHC staining.
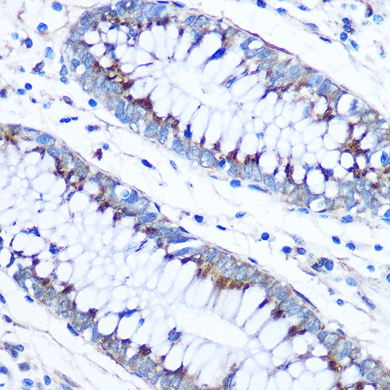
Immunohistochemistry analysis of paraffin-embedded Human colon using FAM3D Rabbit pAb (CAB17824) at dilution of 1:50 (40x lens). Microwave antigen retrieval performed with 0.01M PBS Buffer (pH 7.2) prior to IHC staining.
Immunofluorescence analysis of L929 cells using FAM3D Rabbit pAb (CAB17824) at dilution of 1:100. Secondary antibody: Cy3-conjugated Goat anti-Rabbit IgG (H+L) (CABS007) at 1:500 dilution. Blue: DAPI for nuclear staining.