The Fascin/FSCN1 Monoclonal Antibody (CAB9566) is a high-quality antibody developed for reliable detection and analysis of target proteins. This antibody, raised in rabbits, offers high specificity and sensitivity in detecting fascin in various cell types, making it ideal for applications such as immunofluorescence and flow cytometry.Fascin is a critical regulator of actin filament bundling, promoting the formation of cell protrusions and filopodia necessary for cell migration and invasion. Dysregulation of fascin has been implicated in various diseases, including cancer, where increased fascin expression is associated with aggressive tumor behavior and poor patient prognosis.
This antibody is validated for use in WB, IHC-P, ELISA applications and has demonstrated reactivity against Human, Mouse, Rat samples.
Product Name:
Fascin/FSCN1 Monoclonal Antibody
SKU:
CAB9566
Size:
20μL, 100μL
Reactivity:
Human, Mouse, Rat
Clone Number:
ARC1638
Conjugate:
Unconjugated
Immunogen:
Recombinant protein (or fragment).This information is considered to be commercially sensitive.
This gene encodes a member of the fascin family of actin-binding proteins. Fascin proteins organize F-actin into parallel bundles, and are required for the formation of actin-based cellular protrusions. The encoded protein plays a critical role in cell migration, motility, adhesion and cellular interactions. Expression of this gene is known to be regulated by several microRNAs, and overexpression of this gene may play a role in the metastasis of multiple types of cancer by increasing cell motility. Expression of this gene is also a marker for Reed-Sternberg cells in Hodgkin's lymphoma. A pseudogene of this gene is located on the long arm of chromosome 15.
Purification Method
Affinity purification
Gene ID
6624
RRID
AB_2863727
Buffer Information
Store at -20℃. Avoid freeze / thaw cycles. Buffer: PBS containing 50% glycerol and 0.05% BSA, preserved with proclin300 or sodium azide, pH 7.3.
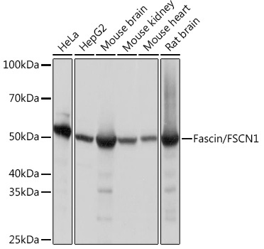
Western blot analysis of various lysates using Fascin/FSCN1 Rabbit mAb (CAB9566) at 1:1000 dilution. Secondary antibody: HRP-conjugated Goat anti-Rabbit IgG (H+L) (CABS014) at 1:10000 dilution. Lysates/proteins: 25μg per lane. Blocking buffer: 3% nonfat dry milk in TBST. Detection: ECL Basic Kit (AbGn00020). Exposure time: 1s.
Immunohistochemistry analysis of paraffin-embedded Human anaplastic large cell lymphoma using Fascin/FSCN1 Rabbit mAb (CAB9566) at dilution of 1:100 (40x lens). Microwave antigen retrieval performed with 0.01M Tris/EDTA Buffer (pH 9.0) prior to IHC staining.
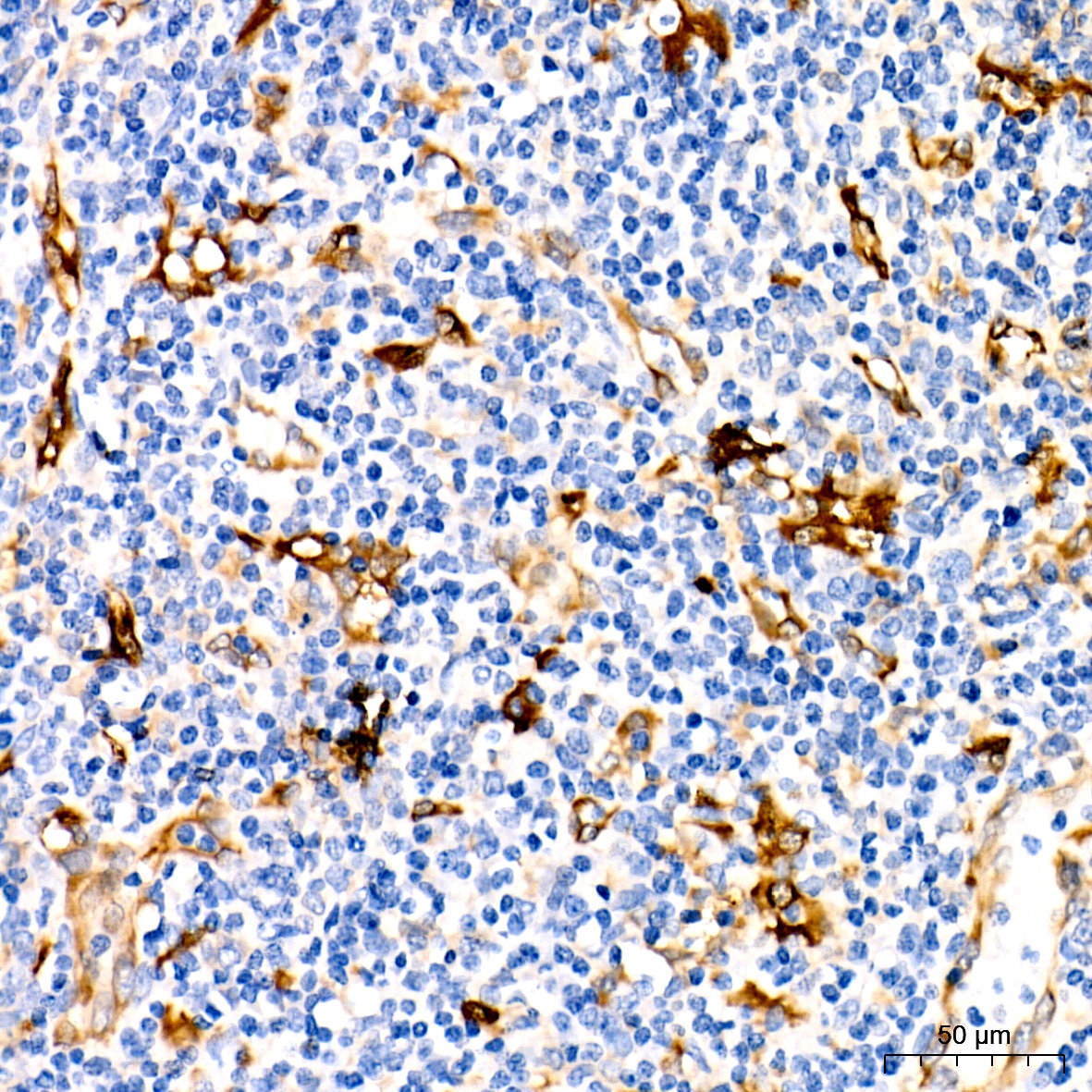
Immunohistochemistry analysis of paraffin-embedded Human tonsil using Fascin/FSCN1 Rabbit mAb (CAB9566) at dilution of 1:100 (40x lens). Microwave antigen retrieval performed with 0.01M Tris/EDTA Buffer (pH 9.0) prior to IHC staining.