The Flotillin 1 Polyclonal Antibody (CAB21832) is a high-quality antibody developed for reliable detection and analysis of target proteins. This antibody, generated in rabbits, exhibits high specificity and sensitivity towards human samples, and is validated for use in Western blot applications. By binding to the flotillin-1 protein, researchers can effectively detect and analyze its expression in various cell types, making it an essential reagent for studies in cell biology and signal transduction.
This antibody is validated for use in WB, IHC-P, ELISA applications and has demonstrated reactivity against Human, Mouse, Rat samples.
Product Name:
Flotillin 1 Polyclonal Antibody
SKU:
CAB21832
Size:
20μL, 100μL
Reactivity:
Human, Mouse, Rat
Conjugate:
Unconjugated
Immunogen:
Recombinant protein (or fragment).This information is considered to be commercially sensitive.
This gene encodes an protein that localizes to the caveolae, which are small domains on the inner cell membranes. This protein plays a role in vesicle trafficking and cell morphology. Alternative splicing results in multiple transcript variants.
Purification Method
Affinity purification
Gene ID
10211
Buffer Information
Store at -20℃. Avoid freeze / thaw cycles. Buffer: PBS with 0.09% Sodium azide,50% glycerol,pH7.3.
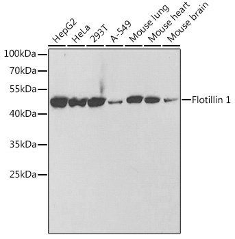
Western blot analysis of various lysates using Flotillin 1 Rabbit pAb (CAB21832) at 1:1000 dilution. Secondary antibody: HRP-conjugated Goat anti-Rabbit IgG (H+L) (CABS014) at 1:10000 dilution. Lysates/proteins: 25μg per lane. Blocking buffer: 3% nonfat dry milk in TBST. Detection: ECL Basic Kit (AbGn00020). Exposure time: 30s.
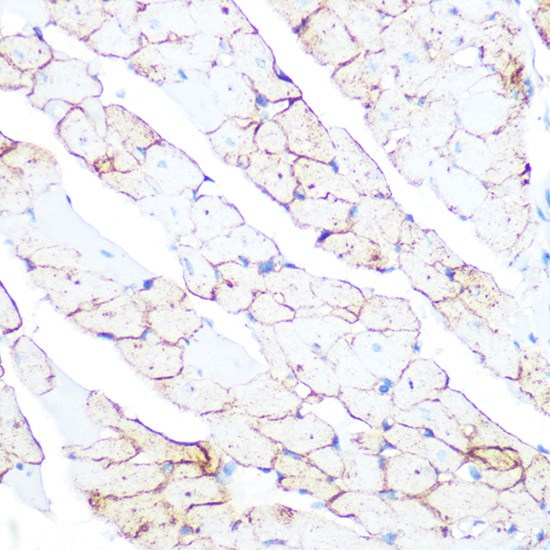
Immunohistochemistry analysis of paraffin-embedded Rat heart using Flotillin 1 Rabbit pAb (CAB21832) at dilution of 1:100 (40x lens). Microwave antigen retrieval performed with 0.01M Tris/EDTA Buffer (pH 9.0) prior to IHC staining.