The Flotillin 1 Antibody (CAB6220) is a high-quality antibody developed for reliable detection and analysis of target proteins. This antibody, generated in rabbits, exhibits high specificity and reactivity towards human flotillin-1 samples, making it ideal for Western blot applications.Flotillin-1 is a key player in various cellular processes, including endocytosis, cell adhesion, and signal transduction. Its presence in lipid rafts, specialized membrane microdomains, suggests a role in organizing membrane proteins and facilitating cellular communication.
This antibody is validated for use in WB, IHC-P, IF/ICC, IP, ELISA applications and has demonstrated reactivity against Human, Mouse, Rat samples.
Product Name:
Flotillin 1 Antibody
SKU:
CAB6220
Size:
20μL, 100μL
Reactivity:
Human, Mouse, Rat
Conjugate:
Unconjugated
Immunogen:
Recombinant protein (or fragment).This information is considered to be commercially sensitive.
This gene encodes an protein that localizes to the caveolae, which are small domains on the inner cell membranes. This protein plays a role in vesicle trafficking and cell morphology. Alternative splicing results in multiple transcript variants.
Purification Method
Affinity purification
Gene ID
10211
RRID
AB_2766829
Buffer Information
Store at -20℃. Avoid freeze / thaw cycles. Buffer: PBS containing 50% glycerol, preserved with proclin300 or sodium azide, pH 7.3.
Western blot analysis of lysates from wild type (WT) and Flotillin 1 knockout (KO) 293T cells, using [KO Validated] Flotillin 1 Rabbit pAb (CAB6220) at 1:1000 dilution. Secondary antibody: HRP-conjugated Goat anti-Rabbit IgG (H+L) (CABS014) at 1:10000 dilution. Lysates/proteins: 25μg per lane. Blocking buffer: 3% nonfat dry milk in TBST. Detection: ECL Basic Kit (AbGn00020). Exposure time: 1s.
Western blot analysis of various lysates, using [KO Validated] Flotillin 1 Rabbit pAb (CAB6220) at 1:1000 dilution. Secondary antibody: HRP-conjugated Goat anti-Rabbit IgG (H+L) (CABS014) at 1:10000 dilution. Lysates/proteins: 25μg per lane. Blocking buffer: 3% nonfat dry milk in TBST. Detection: ECL Basic Kit (AbGn00020). Exposure time: 1s.
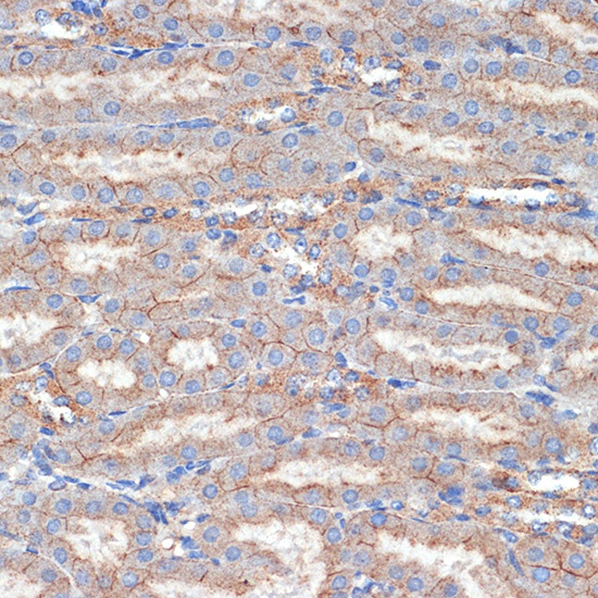
Immunohistochemistry analysis of paraffin-embedded Mouse kidney using [KO Validated] Flotillin 1 Rabbit pAb (CAB6220) at dilution of 1:100 (40x lens). Microwave antigen retrieval performed with 0.01M Tris/EDTA Buffer (pH 9.0) prior to IHC staining.
Immunofluorescence analysis of NIH/3T3 cells using Flotillin 1 Rabbit pAb (CAB6220) at dilution of 1:100 (40x lens). Secondary antibody: Cy3-conjugated Goat anti-Rabbit IgG (H+L) (CABS007) at 1:500 dilution. Blue: DAPI for nuclear staining.